問題番号 : 120F74

本問は,120F73~75の連問の一部です。

88歳の男性。呼吸困難を主訴に来院した。
現病歴:1週間前から労作時の呼吸困難が出現している。昨夜の就寝中から湿性咳嗽が出現しており,今朝から全身倦怠感が著明となり,安静にしていても症状が徐々に増悪するため受診した。
既往歴:高血圧,脂質異常症および糖尿病で外来通院中。2年前から腰部脊柱管狭窄症で整形外科通院中。8年前に心房細動でカテーテルアブレーション治療。10年前には両側の手根管症候群で外科手術。
生活歴:喫煙は20歳から現在まで10本/日,飲酒は機会飲酒,妻との2人暮らし。
家族歴:特記すべきことはない。
現 症:意識は清明。身長158cm,体重57kg。体温36.8℃。脈拍60/分,整。血圧108/90mmHg。呼吸数20/分。SpO2 92%(room air)。眼瞼結膜と眼球結膜とに異常を認めない。頸静脈の怒張を認める。心音はⅠ音,Ⅱ音は正常。Ⅳ音を聴取する。呼吸音は,両下肺野で減弱しており,上肺野ではcoarse cracklesを聴取する。腹部は平坦,軟で,右肋骨弓下に肝を3cm触知するが,脾を触知しない。四肢末梢は冷感を認める。両下腿浮腫を認める。
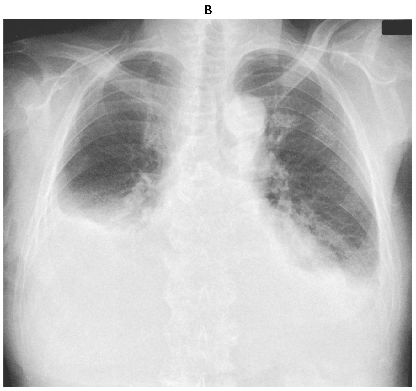
検査所見:血液所見:赤血球402万,Hb 12.1g/dL,Ht 40%,白血球4,500(好中球64%,好酸球2%,好塩基球1%,単球8%,リンパ球25%),血小板16万,Dダイマー0.3μg/mL(基準1.0以下)。血液生化学所見:総蛋白7.3g/dL,アルブミン3.6g/dL,総ビリルビン0.8mg/dL,AST 72U/L,ALT 59U/L,LD 185U/L(基準124~222),ALP 323U/L(基準38~113),γ-GT 69U/L(基準13~64),CK 70U/L(基準59~248),尿素窒素17mg/dL,クレアチニン1.3mg/dL,尿酸5.9mg/dL,血糖117mg/dL,HbA1c 7.2%(基準4.9~6.0),トリグリセリド291mg/dL,HDLコレステロール40mg/dL,LDLコレステロール118mg/dL,Na 132mEq/L,K 4.1mEq/L,Cl 100mEq/L,Ca 9.4mg/dL,BNP 681pg/mL(基準18.4以下),心筋トロポニンT 0.9ng/mL(基準0.01以下)。CRP 1.0mg/dL。血清免疫電気泳動でM蛋白を認めない。動脈血ガス分析(room air):pH 7.32,PaCO2 41Torr,PaO2 69Torr,HCO3 31mEq/L。心エコー検査では,左室収縮能は良好に保たれているが,全周性に左室壁は肥厚しており,輝度が高い。12誘導心電図(A)と胸部エックス線写真(B)とを下に示す。
原因疾患の診断に重要な検査はどれか。

正解
e
国試正答率
55%

正解 e
※解説の掲載は,5月中旬を予定しています。

無料会員登録していただくと、実際の解説をすべて見ることができます。急性の呼吸困難を主訴とする疾患としては,喉頭浮腫,気道異物,自然気胸,気管支喘息,慢性閉塞性肺疾患の急性増悪などの呼吸器疾患,心不全(急性,慢性の急性増悪),肺血栓塞栓症などの循環器疾患が代表的である。この症例では呼吸器感染症と心不全が疑われるが,胸部エックス線写真は肺炎像というよりも両心不全を示唆する所見を示している。診断:心不全(両心不全)(Nohria分類wet and warm) 選択肢考察 ×a 強い呼吸困難,胸痛などにより安静が保てない場合には,血管拡張による前負荷軽減と,交感神経抑制による心筋酸素消費量の減少を目的としてモルヒネを使用する。この症例ではモルヒネが必要となるほどの興奮状態ではない。

無料会員登録して、解説をすべて見る