問題番号 : 120F57

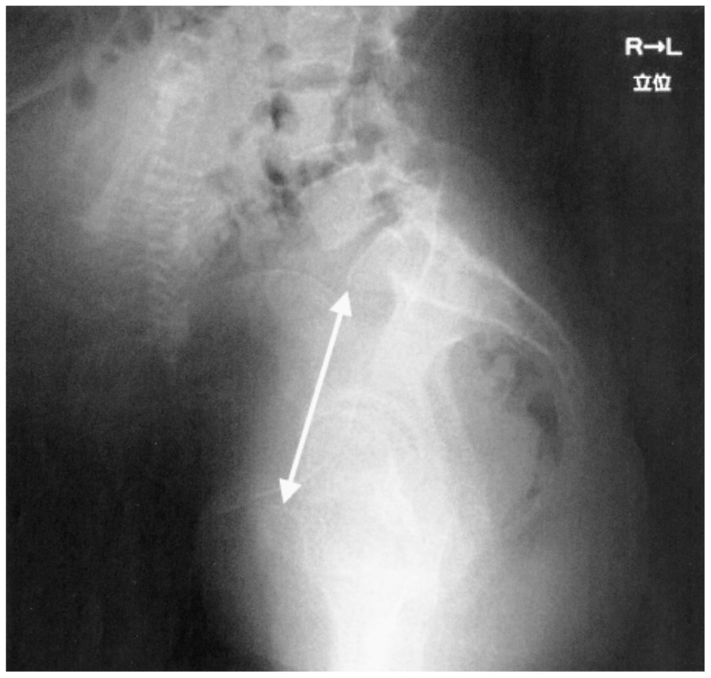
33歳の初妊婦(1妊0産)。妊娠38週4日,妊婦健康診査のために来院した。既往歴と家族歴とに特記すべきことはない。身長148cm,体重58kg。血圧128/64mmHg。尿所見:蛋白(-)。腹部超音波検査で児頭大横径98mm,推定胎児体重3,300g,羊水指数〈AFI〉9cm(基準5~24)である。子宮口は閉鎖。児頭は浮動している。骨盤エックス線写真を下に示す。産科的真結合線(矢印)は10.0cmである。
 患者への説明で正しいのはどれか。

正解
b
国試正答率
57%

正解 b
※解説の掲載は,5月中旬を予定しています。

無料会員登録していただくと、実際の解説をすべて見ることができます。急性の呼吸困難を主訴とする疾患としては,喉頭浮腫,気道異物,自然気胸,気管支喘息,慢性閉塞性肺疾患の急性増悪などの呼吸器疾患,心不全(急性,慢性の急性増悪),肺血栓塞栓症などの循環器疾患が代表的である。この症例では呼吸器感染症と心不全が疑われるが,胸部エックス線写真は肺炎像というよりも両心不全を示唆する所見を示している。診断:心不全(両心不全)(Nohria分類wet and warm) 選択肢考察 ×a 強い呼吸困難,胸痛などにより安静が保てない場合には,血管拡張による前負荷軽減と,交感神経抑制による心筋酸素消費量の減少を目的としてモルヒネを使用する。この症例ではモルヒネが必要となるほどの興奮状態ではない。

無料会員登録して、解説をすべて見る