問題番号 : 120F55

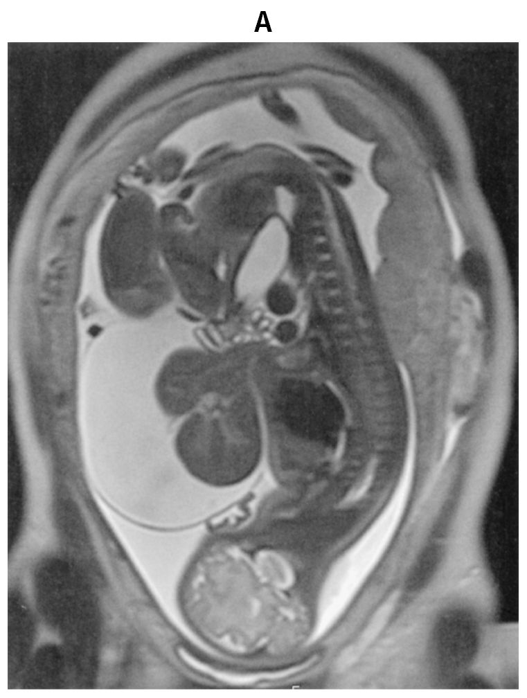
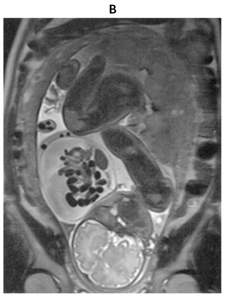
32歳の初妊婦(1妊0産)。妊娠20週時に胎児超音波検査で体外に臓器が脱出している所見を認めた。精査のために妊娠32週時に撮影した胎児単純MRIのT2強調矢状断像(A)(B)を下に示す。
 両親への説明として適切なのはどれか。

正解
c
国試正答率
97%

正解 c
※解説の掲載は,5月中旬を予定しています。

無料会員登録していただくと、実際の解説をすべて見ることができます。急性の呼吸困難を主訴とする疾患としては,喉頭浮腫,気道異物,自然気胸,気管支喘息,慢性閉塞性肺疾患の急性増悪などの呼吸器疾患,心不全(急性,慢性の急性増悪),肺血栓塞栓症などの循環器疾患が代表的である。この症例では呼吸器感染症と心不全が疑われるが,胸部エックス線写真は肺炎像というよりも両心不全を示唆する所見を示している。診断:心不全(両心不全)(Nohria分類wet and warm) 選択肢考察 ×a 強い呼吸困難,胸痛などにより安静が保てない場合には,血管拡張による前負荷軽減と,交感神経抑制による心筋酸素消費量の減少を目的としてモルヒネを使用する。この症例ではモルヒネが必要となるほどの興奮状態ではない。

無料会員登録して、解説をすべて見る