問題番号 : 120F47

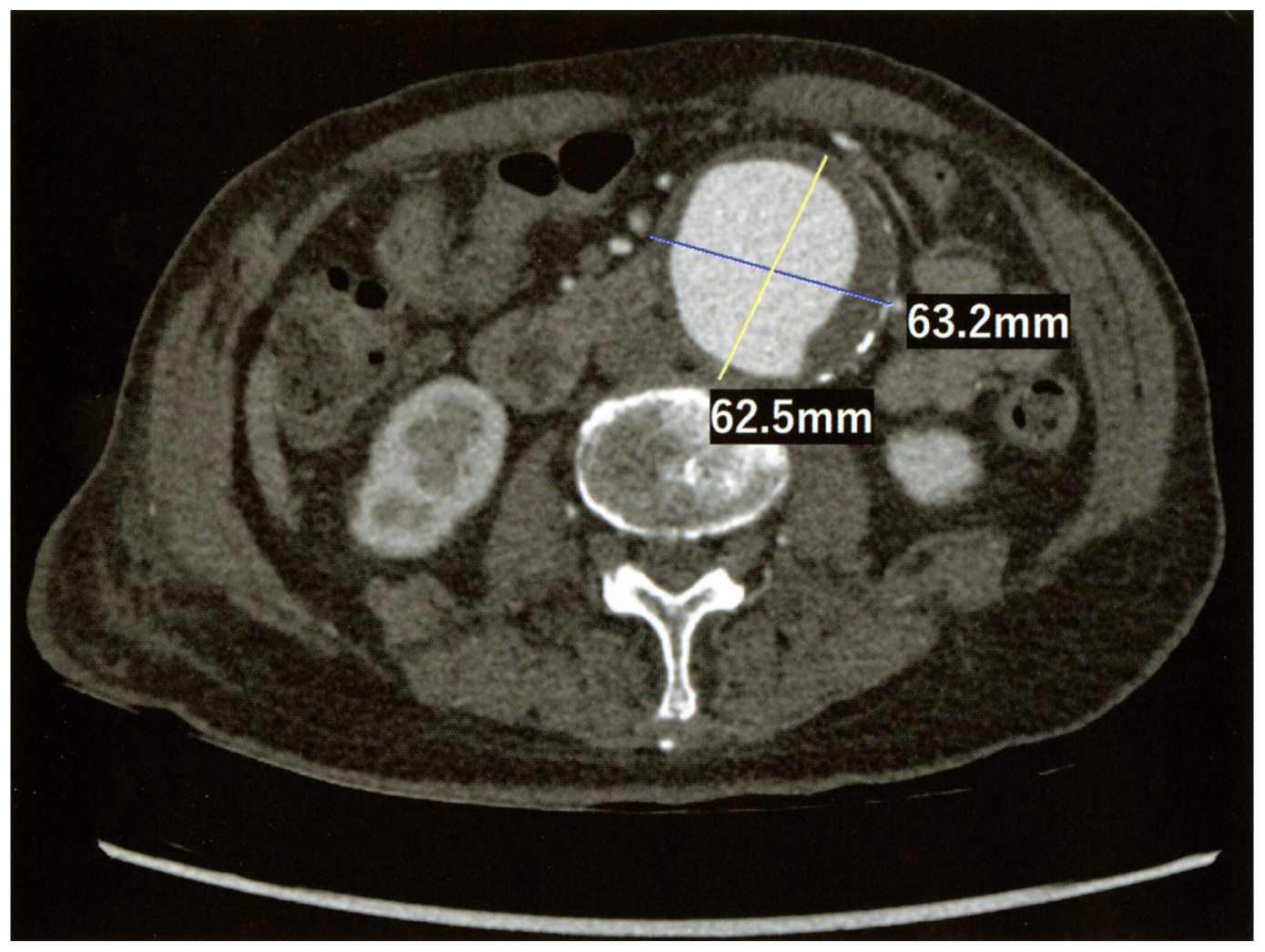
75歳の男性。健診の腹部超音波検査で異常所見を指摘され来院した。既往歴に,高血圧と脂質異常症がある。身長167cm,体重78kg。体温36.0℃。脈拍70/分,整。血圧134/80mmHg。頸静脈の怒張を認めない。心音と呼吸音とに異常を認めない。腹部は平坦,軟で,肝・脾を触知しないが,上腹部に拍動性腫瘤を触知する。両側足背動脈を良好に触知する。血液所見:赤血球468万,Hb 13.9g/dL,白血球8,300,血小板21万。血液生化学所見:尿素窒素20mg/dL,クレアチニン1.2mg/dL。CRP 0.2mg/dL。腹部造影CTを下に示す。
 以下は,研修医がこの疾患の治療方針について患者からの質問に応答している様子である。
患 者:「手術が必要なのでしょうか。症状はないので迷います」
研修医:「①症状がなくても破裂する危険があります。動脈瘤の大きさから考えて手術をお勧めします。手術は,人工血管置換術とステントグラフト内挿術の2種類があります」
患 者:「人工血管置換術はどのような治療ですか」
研修医:「②大動脈を遮断して行う手術です。③高齢者や併存疾患の多い患者さんに推奨されます
患 者:「ステントグラフトとは何でしょうか」
研修医:「ステントという金属の支持組織と人工血管をあわせた医療器具です。④カテーテルを用いて動脈内に挿入します。日本では,⑤この治療のほうが多く行われています
 下線部のうち,誤っているのはどれか。

正解
c
国試正答率
93%

正解 c
※解説の掲載は,5月中旬を予定しています。

無料会員登録していただくと、実際の解説をすべて見ることができます。急性の呼吸困難を主訴とする疾患としては,喉頭浮腫,気道異物,自然気胸,気管支喘息,慢性閉塞性肺疾患の急性増悪などの呼吸器疾患,心不全(急性,慢性の急性増悪),肺血栓塞栓症などの循環器疾患が代表的である。この症例では呼吸器感染症と心不全が疑われるが,胸部エックス線写真は肺炎像というよりも両心不全を示唆する所見を示している。診断:心不全(両心不全)(Nohria分類wet and warm) 選択肢考察 ×a 強い呼吸困難,胸痛などにより安静が保てない場合には,血管拡張による前負荷軽減と,交感神経抑制による心筋酸素消費量の減少を目的としてモルヒネを使用する。この症例ではモルヒネが必要となるほどの興奮状態ではない。

無料会員登録して、解説をすべて見る