問題番号 : 120F41

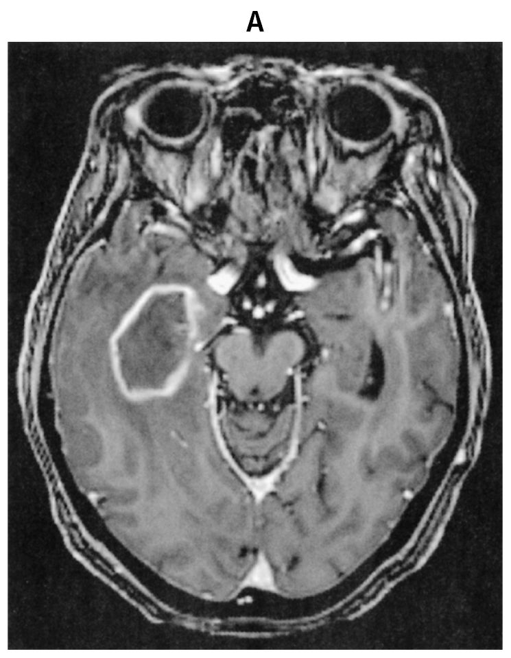
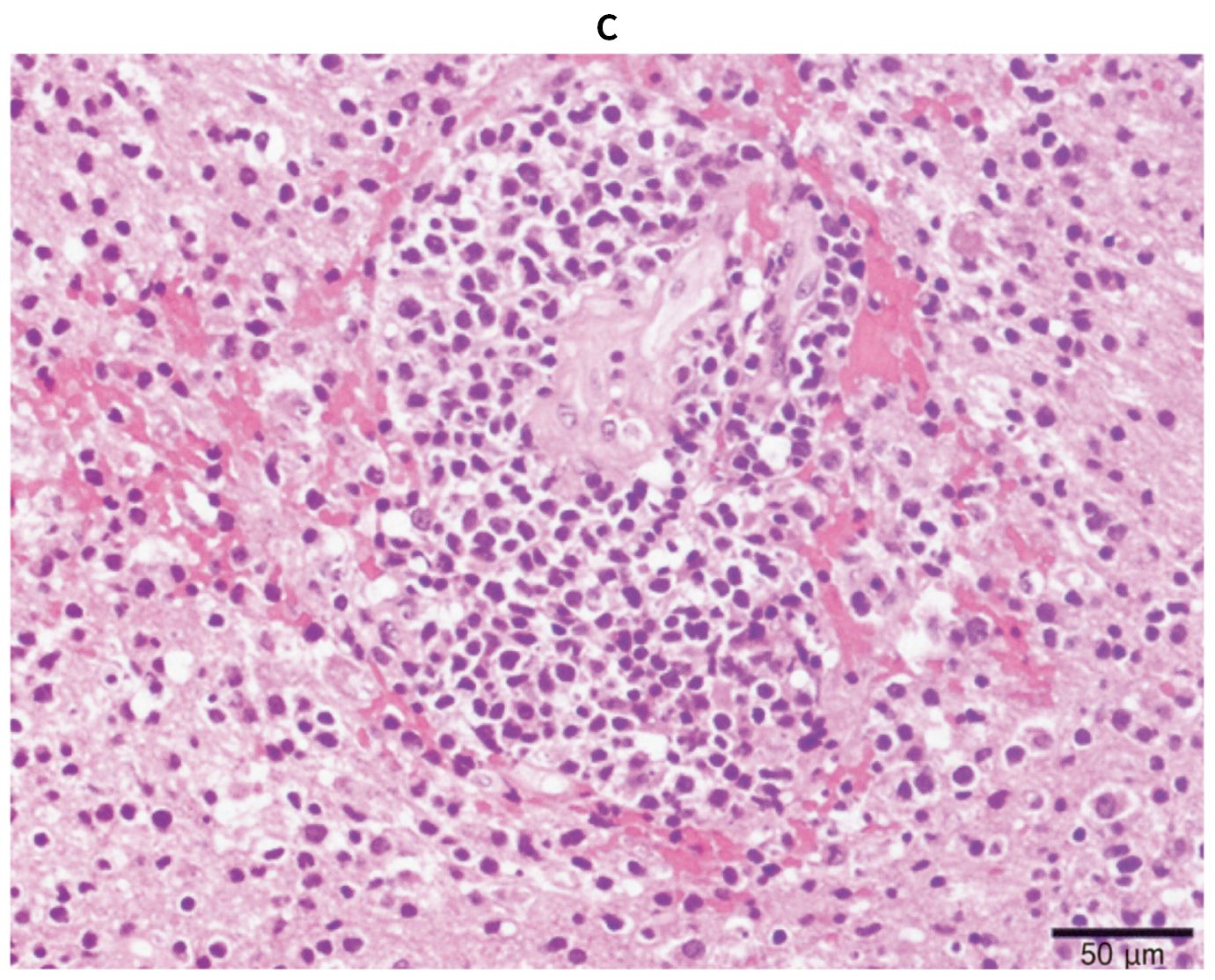
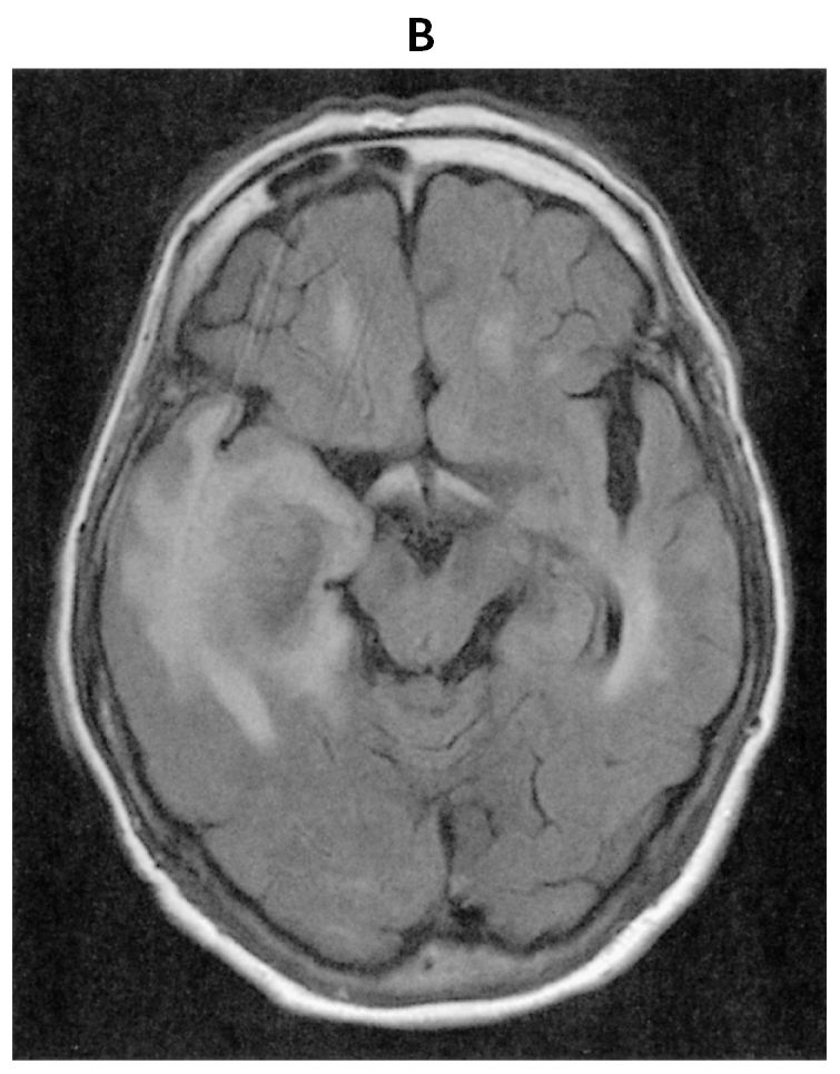
69歳の女性。悪心を主訴に来院した。悪心は3日前から時々自覚していた。既往歴に高血圧症と糖尿病があり,いずれも内服治療中である。慢性腎不全のため5年前に生体腎移植を受け,免疫抑制薬を投与されている。喫煙歴はない。意識レベルはJCSⅠ-1。身長150cm,体重41kg。神経診察で異常を認めない。血液所見:赤血球400万,Hb 12.3g/dL,Ht 41%,白血球6,500,血小板18万。血液生化学所見:総蛋白6.9g/dL,アルブミン4.4g/dL,総ビリルビン0.8mg/dL,AST 22U/L,ALT 10U/L,LD 237U/L(基準124~222),尿素窒素19mg/dL,クレアチニン0.9mg/dL,血糖118mg/dL,HbA1c 6.2%(基準4.9~6.0),Na 140mEq/L,K 4.7mEq/L,Cl 107mEq/L,CEA 2.9ng/mL(基準5以下),CA19-9 2U/mL未満(基準37以下),ProGRP 80pg/mL(基準81以下)。免疫血清学所見:可溶性IL-2受容体685U/mL(基準157~474),CRP 0.1mg/dL。頭部造影MRIのT1強調像(A)と頭部単純MRIのFLAIR像(B)とを下に示す。胸腹部造影CTで異常を認めない。画像所見をもとに病変の生検術を施行した。生検H-E染色標本(C)を下に示す。生検組織内にて増殖を認める細胞は,抗CD20抗体を用いた免疫染色にてB細胞の表面抗原が陽性であった。
 診断はどれか。

正解
c
国試正答率
91%

正解 c
※解説の掲載は,5月中旬を予定しています。

無料会員登録していただくと、実際の解説をすべて見ることができます。急性の呼吸困難を主訴とする疾患としては,喉頭浮腫,気道異物,自然気胸,気管支喘息,慢性閉塞性肺疾患の急性増悪などの呼吸器疾患,心不全(急性,慢性の急性増悪),肺血栓塞栓症などの循環器疾患が代表的である。この症例では呼吸器感染症と心不全が疑われるが,胸部エックス線写真は肺炎像というよりも両心不全を示唆する所見を示している。診断:心不全(両心不全)(Nohria分類wet and warm) 選択肢考察 ×a 強い呼吸困難,胸痛などにより安静が保てない場合には,血管拡張による前負荷軽減と,交感神経抑制による心筋酸素消費量の減少を目的としてモルヒネを使用する。この症例ではモルヒネが必要となるほどの興奮状態ではない。

無料会員登録して、解説をすべて見る