問題番号 : 120E30

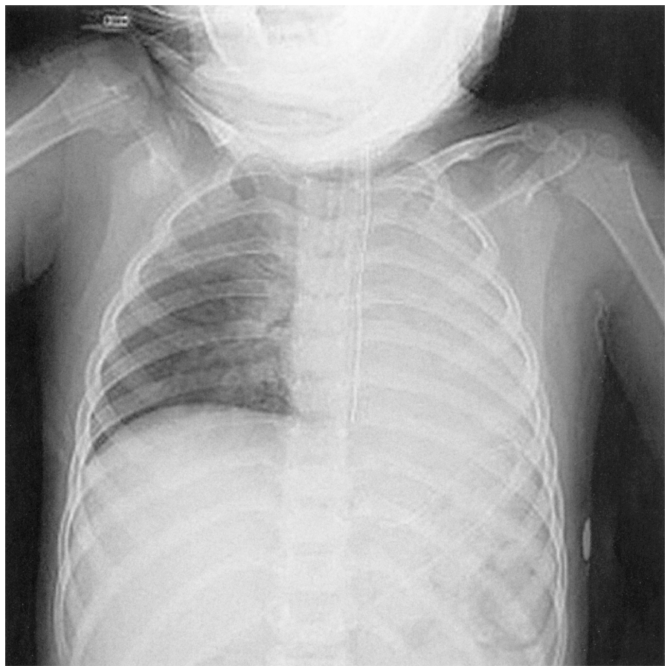
4歳の女児。急性脳症による意識障害のため小児集中治療室〈PICU〉で人工呼吸管理中である。今朝,SpO2が突然低下したため,研修医に報告があった。体温37.0℃。心拍数130/分,整。血圧92/50mmHg。呼吸数30/分(呼吸器設定:換気回数30/分,FIO2 0.4)。SpO2 81%。胸郭の動きは左右差がある。心音に異常を認めない。呼吸音は左側で著明に減弱している。腹部は平坦,軟で,腸雑音を聴取する。経鼻胃管は昨日と同じ固定位置で,胃液が吸引できる。気管チューブの固定テープにゆるみがあり,固定位置が2cm深くなっている。気管チューブから喀痰吸引を行い,チューブの閉塞はみられなかった。胸部エックス線写真を下に示す。
 適切な対応はどれか。

正解
d
国試正答率
93%

正解 d
※解説の掲載は,5月中旬を予定しています。

無料会員登録していただくと、実際の解説をすべて見ることができます。急性の呼吸困難を主訴とする疾患としては,喉頭浮腫,気道異物,自然気胸,気管支喘息,慢性閉塞性肺疾患の急性増悪などの呼吸器疾患,心不全(急性,慢性の急性増悪),肺血栓塞栓症などの循環器疾患が代表的である。この症例では呼吸器感染症と心不全が疑われるが,胸部エックス線写真は肺炎像というよりも両心不全を示唆する所見を示している。診断:心不全(両心不全)(Nohria分類wet and warm) 選択肢考察 ×a 強い呼吸困難,胸痛などにより安静が保てない場合には,血管拡張による前負荷軽減と,交感神経抑制による心筋酸素消費量の減少を目的としてモルヒネを使用する。この症例ではモルヒネが必要となるほどの興奮状態ではない。

無料会員登録して、解説をすべて見る