問題番号 : 120E26

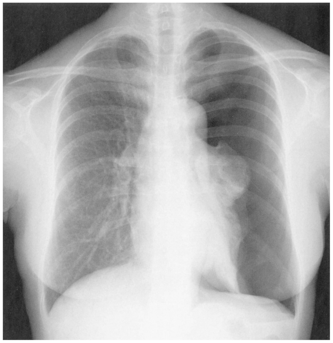
40歳の女性。突然の胸痛と呼吸困難を主訴に救急車で搬入された。意識レベルはJCSⅡ-10。身長168cm,体重60kg。体温36.9℃。心拍数120/分,整。血圧80/60mmHg。呼吸数30/分。SpO2 91%(リザーバー付マスク10L/分 酸素投与下)。毛細血管再充満時間3秒。皮膚はチアノーゼを認める。眼瞼結膜に貧血を認めない。頸静脈の怒張を認める。呼吸音は左前胸部で消失し,打診で左胸部に鼓音を認める。胸部エックス線写真を下に示す。
 まず行うのはどれか。

正解
a
国試正答率
100%

正解 a
※解説の掲載は,5月中旬を予定しています。

無料会員登録していただくと、実際の解説をすべて見ることができます。急性の呼吸困難を主訴とする疾患としては,喉頭浮腫,気道異物,自然気胸,気管支喘息,慢性閉塞性肺疾患の急性増悪などの呼吸器疾患,心不全(急性,慢性の急性増悪),肺血栓塞栓症などの循環器疾患が代表的である。この症例では呼吸器感染症と心不全が疑われるが,胸部エックス線写真は肺炎像というよりも両心不全を示唆する所見を示している。診断:心不全(両心不全)(Nohria分類wet and warm) 選択肢考察 ×a 強い呼吸困難,胸痛などにより安静が保てない場合には,血管拡張による前負荷軽減と,交感神経抑制による心筋酸素消費量の減少を目的としてモルヒネを使用する。この症例ではモルヒネが必要となるほどの興奮状態ではない。

無料会員登録して、解説をすべて見る