問題番号 : 120D73

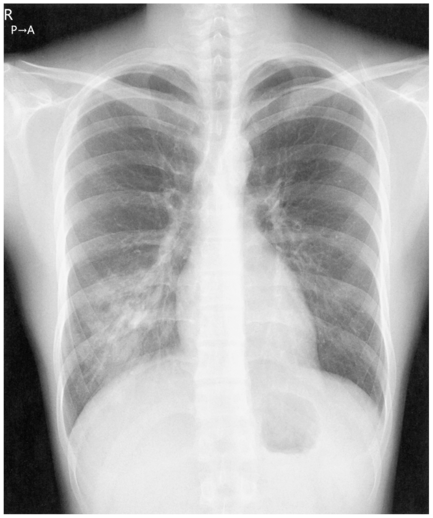
24歳の男性。3日前からの発熱と咳とを主訴に来院した。咳は乾性で頑固である。同様の症状を訴えている会社の同僚がいる。意識は清明。体温38.7℃。脈拍96/分,整。呼吸数20/分。呼吸音に異常を認めない。皮膚と口腔粘膜とに脱水所見は認めない。血液所見:白血球6,800(桿状核好中球9%,分葉核好中球55%,好酸球2%,単球6%,リンパ球28%)。CRP 7.8mg/dL。インフルエンザウイルス及び新型コロナウイルス〈SARS-CoV-2〉の抗原検査は陰性であった。誘発喀痰のGram染色や尿中抗原検査では原因菌は推定できなかった。胸部エックス線写真を下に示す。
 適切な抗菌薬はどれか。2つ選べ

正解
c, e
国試正答率
94%

正解 ce
※解説の掲載は,5月中旬を予定しています。

無料会員登録していただくと、実際の解説をすべて見ることができます。急性の呼吸困難を主訴とする疾患としては,喉頭浮腫,気道異物,自然気胸,気管支喘息,慢性閉塞性肺疾患の急性増悪などの呼吸器疾患,心不全(急性,慢性の急性増悪),肺血栓塞栓症などの循環器疾患が代表的である。この症例では呼吸器感染症と心不全が疑われるが,胸部エックス線写真は肺炎像というよりも両心不全を示唆する所見を示している。診断:心不全(両心不全)(Nohria分類wet and warm) 選択肢考察 ×a 強い呼吸困難,胸痛などにより安静が保てない場合には,血管拡張による前負荷軽減と,交感神経抑制による心筋酸素消費量の減少を目的としてモルヒネを使用する。この症例ではモルヒネが必要となるほどの興奮状態ではない。

無料会員登録して、解説をすべて見る