問題番号 : 120D67

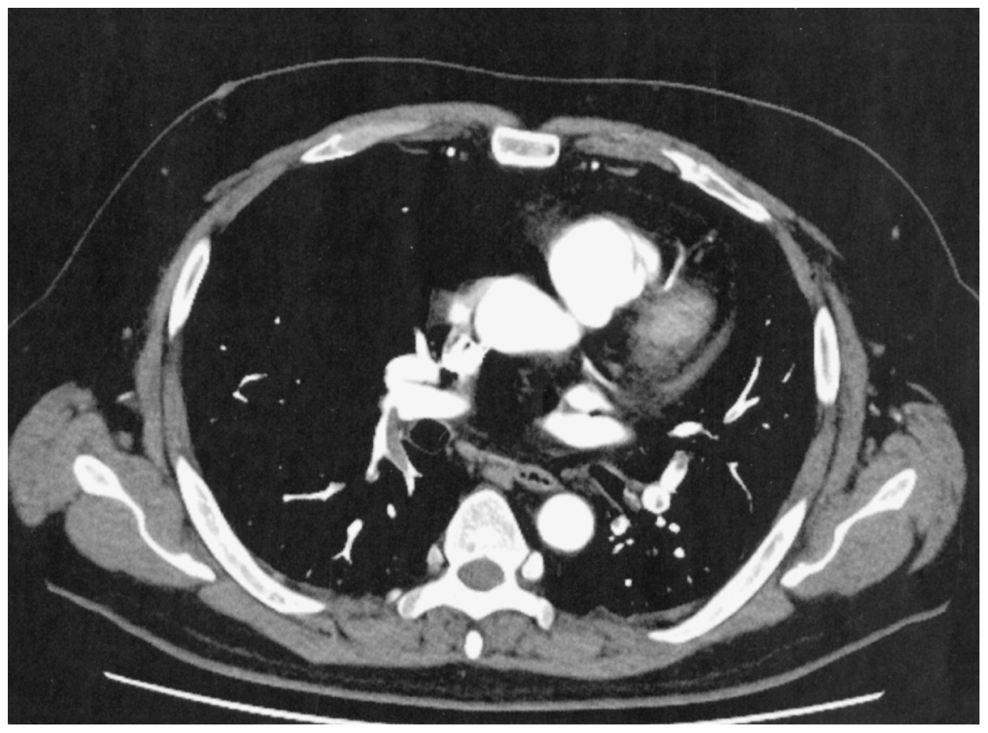
58歳の男性。労作時の呼吸困難を主訴に来院した。今朝,起床後から労作時呼吸困難が出現した。通常通りに出勤したが呼吸困難が持続しており,処方されていた吸入薬を使用後も改善がみられなかったため受診した。35歳時から①喘息に対して吸入療法中。57歳時から②臨床病期Ⅳ期の非小細胞肺癌に対して治療中③2週間前にインフルエンザワクチン接種を受けた④築35年の木造住宅に住んでいる。⑤自宅で鳥を飼育している。意識は清明。身長172cm,体重67kg。体温36.5℃。脈拍92/分,整。血圧138/90mmHg。呼吸数20/分。SpO2 92%(room air)。頸静脈の怒張と口唇のチアノーゼとを認めない。心雑音を聴取しないが胸骨左縁第2肋間でⅡ音の亢進を認める。呼吸音に異常を認めない。下腿に浮腫を認めない。血液所見:赤血球452万,Hb 13.8g/dL,Ht 41%,白血球5,400,血小板21万,PT-INR 1.0(基準0.9~1.1),Dダイマー4.4μg/mL(基準1.0以下)。血液生化学所見:総ビリルビン1.0mg/dL,AST 21U/L,ALT 9U/L,LD 306U/L(基準124~222),CK 60 U/L(基準59~248),尿素窒素11mg/dL,クレアチニン0.6mg/dL,血糖114mg/dL。胸部造影CTを下に示す。
 下線部のうち,この疾患のリスクファクターはどれか。

正解
b
国試正答率
96%

正解 b
※解説の掲載は,5月中旬を予定しています。

無料会員登録していただくと、実際の解説をすべて見ることができます。急性の呼吸困難を主訴とする疾患としては,喉頭浮腫,気道異物,自然気胸,気管支喘息,慢性閉塞性肺疾患の急性増悪などの呼吸器疾患,心不全(急性,慢性の急性増悪),肺血栓塞栓症などの循環器疾患が代表的である。この症例では呼吸器感染症と心不全が疑われるが,胸部エックス線写真は肺炎像というよりも両心不全を示唆する所見を示している。診断:心不全(両心不全)(Nohria分類wet and warm) 選択肢考察 ×a 強い呼吸困難,胸痛などにより安静が保てない場合には,血管拡張による前負荷軽減と,交感神経抑制による心筋酸素消費量の減少を目的としてモルヒネを使用する。この症例ではモルヒネが必要となるほどの興奮状態ではない。

無料会員登録して、解説をすべて見る