問題番号 : 120D59

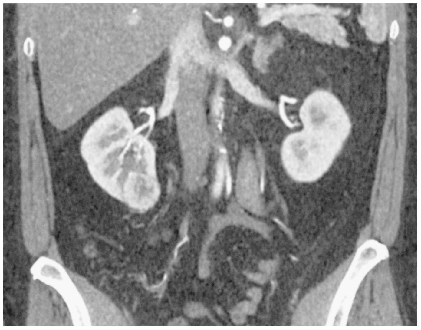
60歳の男性。3週間前に受けた人間ドックの腹部超音波検査で右腎下極に径2.5cmの腫瘤を指摘されたため来院した。自覚症状はない。尿所見:蛋白(-),糖(-),潜血(-),沈渣に赤血球,白血球を認めない。血液所見:赤血球474万,Hb 14.9g/dL,Ht 43%,白血球5,900,血小板20万。血液生化学所見:総蛋白7.1g/dL,アルブミン4.1g/dL,総ビリルビン0.9mg/dL,AST 24U/L,ALT 26U/L,LD 156U/L(基準124~222),尿素窒素14mg/dL,クレアチニン1.0mg/dL,Na 138mEq/L,K 4.3mEq/L,Cl 102mEq/L。CRP 0.1mg/dL。腹部造影CTの冠状断像を下に示す。胸腹部CTでは転移を認めない。
 最も適切な治療はどれか。

正解
b
国試正答率
95%

正解 b
※解説の掲載は,5月中旬を予定しています。

無料会員登録していただくと、実際の解説をすべて見ることができます。急性の呼吸困難を主訴とする疾患としては,喉頭浮腫,気道異物,自然気胸,気管支喘息,慢性閉塞性肺疾患の急性増悪などの呼吸器疾患,心不全(急性,慢性の急性増悪),肺血栓塞栓症などの循環器疾患が代表的である。この症例では呼吸器感染症と心不全が疑われるが,胸部エックス線写真は肺炎像というよりも両心不全を示唆する所見を示している。診断:心不全(両心不全)(Nohria分類wet and warm) 選択肢考察 ×a 強い呼吸困難,胸痛などにより安静が保てない場合には,血管拡張による前負荷軽減と,交感神経抑制による心筋酸素消費量の減少を目的としてモルヒネを使用する。この症例ではモルヒネが必要となるほどの興奮状態ではない。

無料会員登録して、解説をすべて見る