問題番号 : 120D53

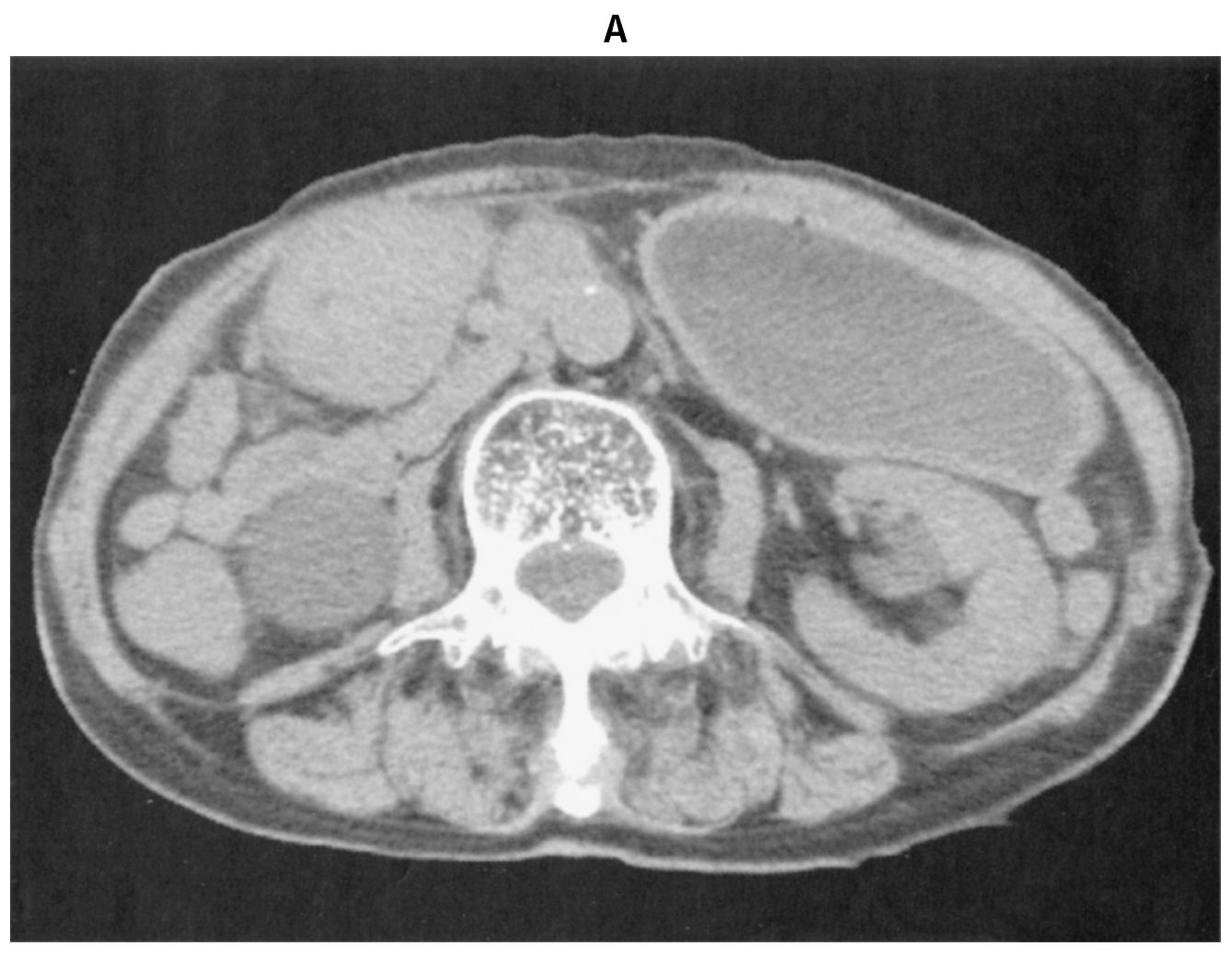
88歳の女性。呼吸困難を主訴に救急車で搬入された。3か月前から心窩部痛があり,2か月前には悪心で食事が摂れなくなり,3週間前から嘔吐を繰り返すようになった。睡眠中に嘔吐し,呼吸困難が出現したため家族が救急車を要請した。喫煙歴と飲酒歴はない。意識は清明。身長148cm,体重36kg。1か月で6kg体重が減少した。体温36.2℃。心拍数108/分,整。血圧98/48mmHg。呼吸数12/分。SpO2 94%(マスク5L/分 酸素投与下)。呼吸音は前胸部右側で減弱し,coarse cracklesを聴取する。腹部は膨隆し,圧痛を認める。尿所見:蛋白(-),糖(-),ケトン体2+,潜血(-)。血液所見:赤血球418万,Hb 11.9 g/dL,Ht 38%,白血球5,500,血小板30万。血液生化学所見:総蛋白6.4g/dL,アルブミン2.8g/dL,総ビリルビン0.5mg/dL,AST 26U/L,ALT 18U/L,LD 202U/L(基準124~222),ALP 110U/L(基準38~113),尿素窒素28mg/dL,クレアチニン1.4mg/dL,血糖88mg/dL,Na 132mEq/L,K 4.6mEq/L,Cl 98mEq/L,Ca 8.8mg/dL,P 2.7mg/dL,CEA 18.6ng/mL(基準5以下),CA19-9 36U/mL(基準37以下)。CRP 3.0mg/dL。腹部単純CT(A)(B)を下に示す。気管内吸引で食物残渣を多量に認め,その後低酸素血症は改善した。2週間後に開腹手術を行うことにした。低栄養に対して,栄養サポートチーム〈NST〉に介入依頼をした。
 まず行うべき対応はどれか。

正解
c
国試正答率
47%

正解 c
※解説の掲載は,5月中旬を予定しています。

無料会員登録していただくと、実際の解説をすべて見ることができます。急性の呼吸困難を主訴とする疾患としては,喉頭浮腫,気道異物,自然気胸,気管支喘息,慢性閉塞性肺疾患の急性増悪などの呼吸器疾患,心不全(急性,慢性の急性増悪),肺血栓塞栓症などの循環器疾患が代表的である。この症例では呼吸器感染症と心不全が疑われるが,胸部エックス線写真は肺炎像というよりも両心不全を示唆する所見を示している。診断:心不全(両心不全)(Nohria分類wet and warm) 選択肢考察 ×a 強い呼吸困難,胸痛などにより安静が保てない場合には,血管拡張による前負荷軽減と,交感神経抑制による心筋酸素消費量の減少を目的としてモルヒネを使用する。この症例ではモルヒネが必要となるほどの興奮状態ではない。

無料会員登録して、解説をすべて見る