問題番号 : 120D39

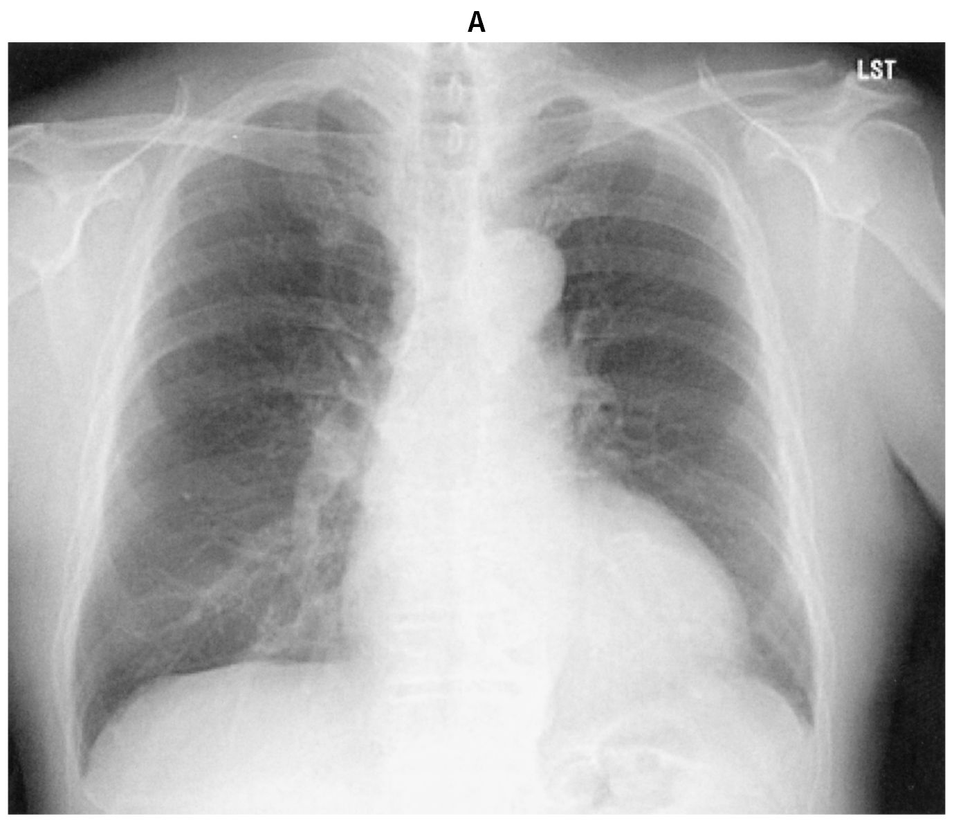
76歳の男性。定期受診で来院した。3年前に拡張期心雑音を指摘され,定期的に心エコー検査で経過観察をしてきた。今回,6か月ぶりの心エコー検査と定期外来で受診し,労作時の息切れを認めた。意識は清明。身長168cm,体重72kg。体温35.8℃。脈拍72/分,整。血圧142/46mmHg。SpO2 98%(room air)。頸静脈の怒張を認めず,呼吸音に異常を認めない。胸骨左縁第3~4肋間にLevine 2/6の拡張期雑音を認める。腹部は平坦,軟で,肝・脾を触知しない。四肢に浮腫を認めない。血液生化学所見:尿素窒素14mg/dL,クレアチニン0.8mg/dL,血糖106mg/dL,HbA1c 6.4%(基準4.9~6.0),BNP 245pg/mL(基準18.4以下)。胸部エックス線写真(A)を示す。心電図では,V4~V6胸部誘導で高電位を認める。心エコー図(B)とカラードプラ心エコー図(C)とを下に示す。心エコー検査では,左室拡張期径69mm,左室駆出率46%,大動脈弁輪の拡大と重症の大動脈弁閉鎖不全症を認める。胸部造影CTでも,著明な大動脈弁基部の拡張を認める。冠動脈造影検査で冠動脈に病変を認めなかった。
 適切な治療はどれか。

正解
a
国試正答率
54%

正解 a
※解説の掲載は,5月中旬を予定しています。

無料会員登録していただくと、実際の解説をすべて見ることができます。急性の呼吸困難を主訴とする疾患としては,喉頭浮腫,気道異物,自然気胸,気管支喘息,慢性閉塞性肺疾患の急性増悪などの呼吸器疾患,心不全(急性,慢性の急性増悪),肺血栓塞栓症などの循環器疾患が代表的である。この症例では呼吸器感染症と心不全が疑われるが,胸部エックス線写真は肺炎像というよりも両心不全を示唆する所見を示している。診断:心不全(両心不全)(Nohria分類wet and warm) 選択肢考察 ×a 強い呼吸困難,胸痛などにより安静が保てない場合には,血管拡張による前負荷軽減と,交感神経抑制による心筋酸素消費量の減少を目的としてモルヒネを使用する。この症例ではモルヒネが必要となるほどの興奮状態ではない。

無料会員登録して、解説をすべて見る