問題番号 : 120D37

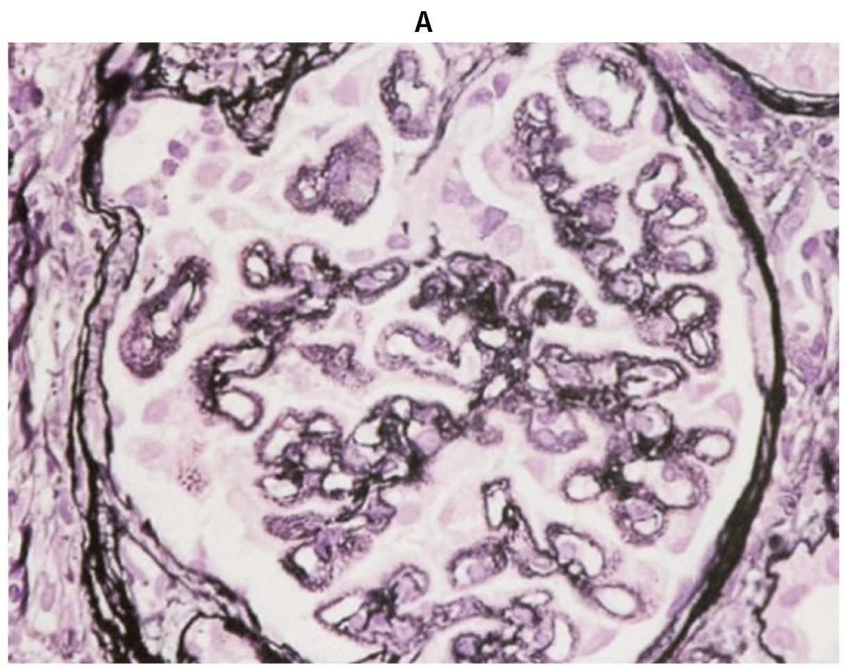
58歳の女性。下腿の浮腫を主訴に来院した。毎年職場健診を受診していたが,異常は指摘されなかった。6か月前の健診で初めて蛋白尿を指摘されたが,症状がないのでそのままにしていた。1か月前から両下腿の浮腫が出現し,次第に増悪したため受診した。身長160cm,体重60kg。脈拍64/分,整。血圧132/90mmHg。胸腹部に異常を認めない。両下腿に圧痕性浮腫を認める。皮膚に異常を認めない。尿所見:蛋白3+,糖(-),潜血(-),尿蛋白/Cr比2.5g/gCr(基準0.15未満),沈渣に赤血球0~2/HPF,白血球0~2/HPF,硝子円柱を少数認める。血液所見:赤血球460万,Hb 13.1g/dL,Ht 42%。血液生化学所見:総蛋白5.3g/dL,アルブミン2.6g/dL,IgG 1,100mg/dL(基準861~1,747),IgA 386mg/dL(基準93~393),IgM 188mg/dL(基準50~269),尿素窒素31mg/dL,クレアチニン1.3mg/dL,eGFR 33.5mL/分/1.73m2,尿酸7.0mg/dL,血糖102mg/dL,HbA1c 5.9%(基準4.9~6.0),LDLコレステロール213mg/dL。免疫血清学所見:CRP 0.1 mg/dL,抗核抗体20倍(基準20以下)。腎生検のPAM染色標本(A)と蛍光抗体IgG染色標本(B)とを下に示す。Congo-Red染色は陰性である。
 蛋白尿の原因で最も考えられるのはどれか。

正解
b
国試正答率
99%

正解 b
※解説の掲載は,5月中旬を予定しています。

無料会員登録していただくと、実際の解説をすべて見ることができます。急性の呼吸困難を主訴とする疾患としては,喉頭浮腫,気道異物,自然気胸,気管支喘息,慢性閉塞性肺疾患の急性増悪などの呼吸器疾患,心不全(急性,慢性の急性増悪),肺血栓塞栓症などの循環器疾患が代表的である。この症例では呼吸器感染症と心不全が疑われるが,胸部エックス線写真は肺炎像というよりも両心不全を示唆する所見を示している。診断:心不全(両心不全)(Nohria分類wet and warm) 選択肢考察 ×a 強い呼吸困難,胸痛などにより安静が保てない場合には,血管拡張による前負荷軽減と,交感神経抑制による心筋酸素消費量の減少を目的としてモルヒネを使用する。この症例ではモルヒネが必要となるほどの興奮状態ではない。

無料会員登録して、解説をすべて見る