問題番号 : 120D28

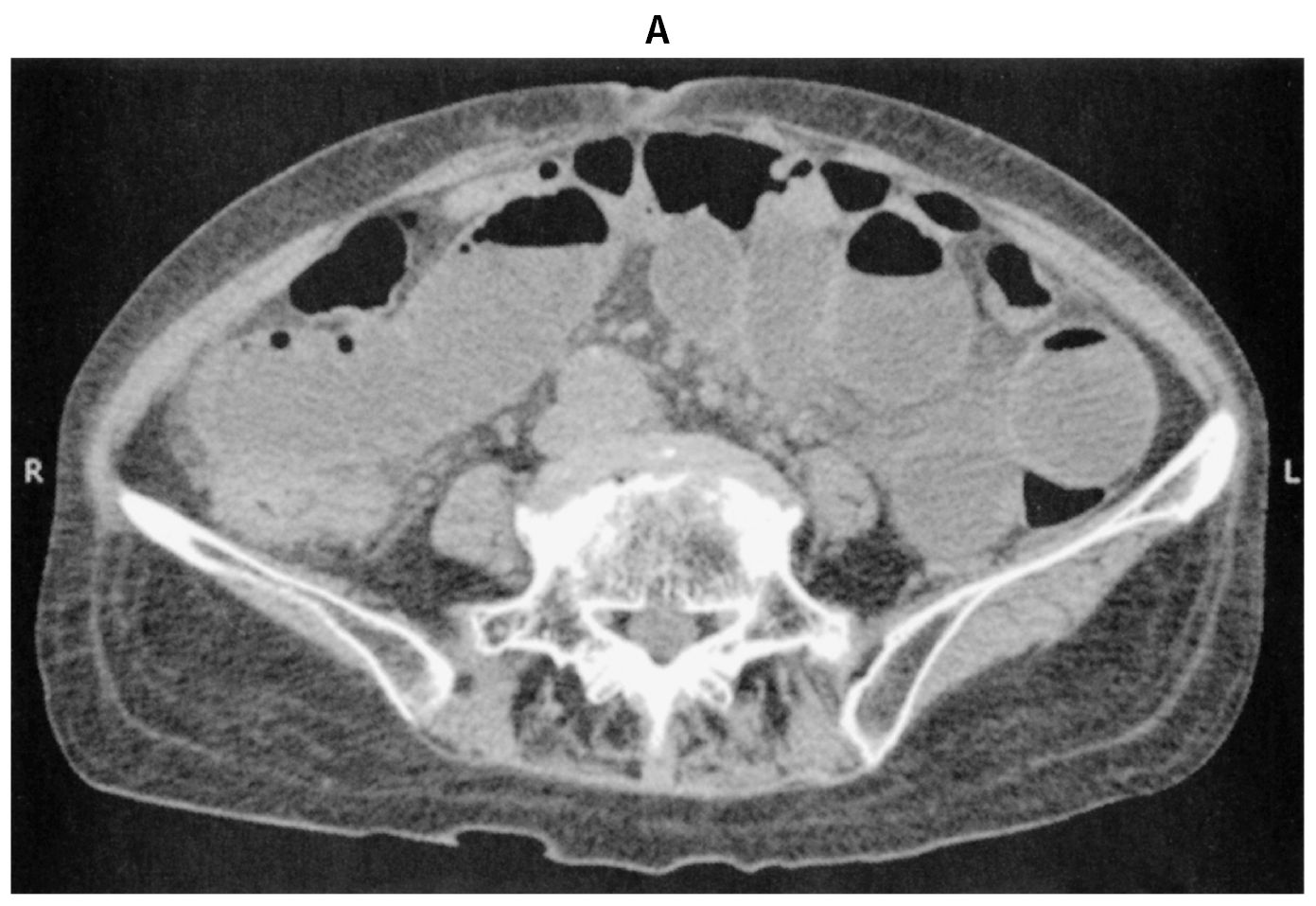
75歳の女性。腹痛と嘔吐を主訴に来院した。2日前から排便と排ガスがなく,徐々に腹部膨満が出現してきた。今朝から腹痛と嘔吐が出現したため受診した。既往歴は骨粗鬆症で治療中である。3年前に子宮筋腫で子宮全摘術を受けた。喫煙は20本/日を30年間。飲酒は日本酒1合/日を30年間。意識は清明。身長160cm,体重75kg。体温36.9℃。脈拍112/分,整。血圧148/74mmHg。SpO2 97%(room air)。①腹部膨隆を認める②腹部全体に軽度の圧痛を認めるが,③反跳痛を認めない④筋性防御を認めない⑤左股関節の伸展,外転により下肢の痛みやしびれを認める。直腸指診で異常を認めない。血液所見:赤血球410万,Hb 13.0g/dL,Ht 40%,白血球9,600,血小板27万。血液生化学所見:総蛋白6.4g/dL,アルブミン3.0g/dL,AST 25U/L,ALT 15U/L,尿素窒素35mg/dL,クレアチニン1.0mg/dL。CRP 2.5mg/dL。腹部単純CT(A)(B)を下に示す。
 下線部のうち,この患者の腸閉塞の原因に特徴的な所見はどれか。

正解
e
国試正答率
95%

正解 e
※解説の掲載は,5月中旬を予定しています。

無料会員登録していただくと、実際の解説をすべて見ることができます。急性の呼吸困難を主訴とする疾患としては,喉頭浮腫,気道異物,自然気胸,気管支喘息,慢性閉塞性肺疾患の急性増悪などの呼吸器疾患,心不全(急性,慢性の急性増悪),肺血栓塞栓症などの循環器疾患が代表的である。この症例では呼吸器感染症と心不全が疑われるが,胸部エックス線写真は肺炎像というよりも両心不全を示唆する所見を示している。診断:心不全(両心不全)(Nohria分類wet and warm) 選択肢考察 ×a 強い呼吸困難,胸痛などにより安静が保てない場合には,血管拡張による前負荷軽減と,交感神経抑制による心筋酸素消費量の減少を目的としてモルヒネを使用する。この症例ではモルヒネが必要となるほどの興奮状態ではない。

無料会員登録して、解説をすべて見る