問題番号 : 120D25

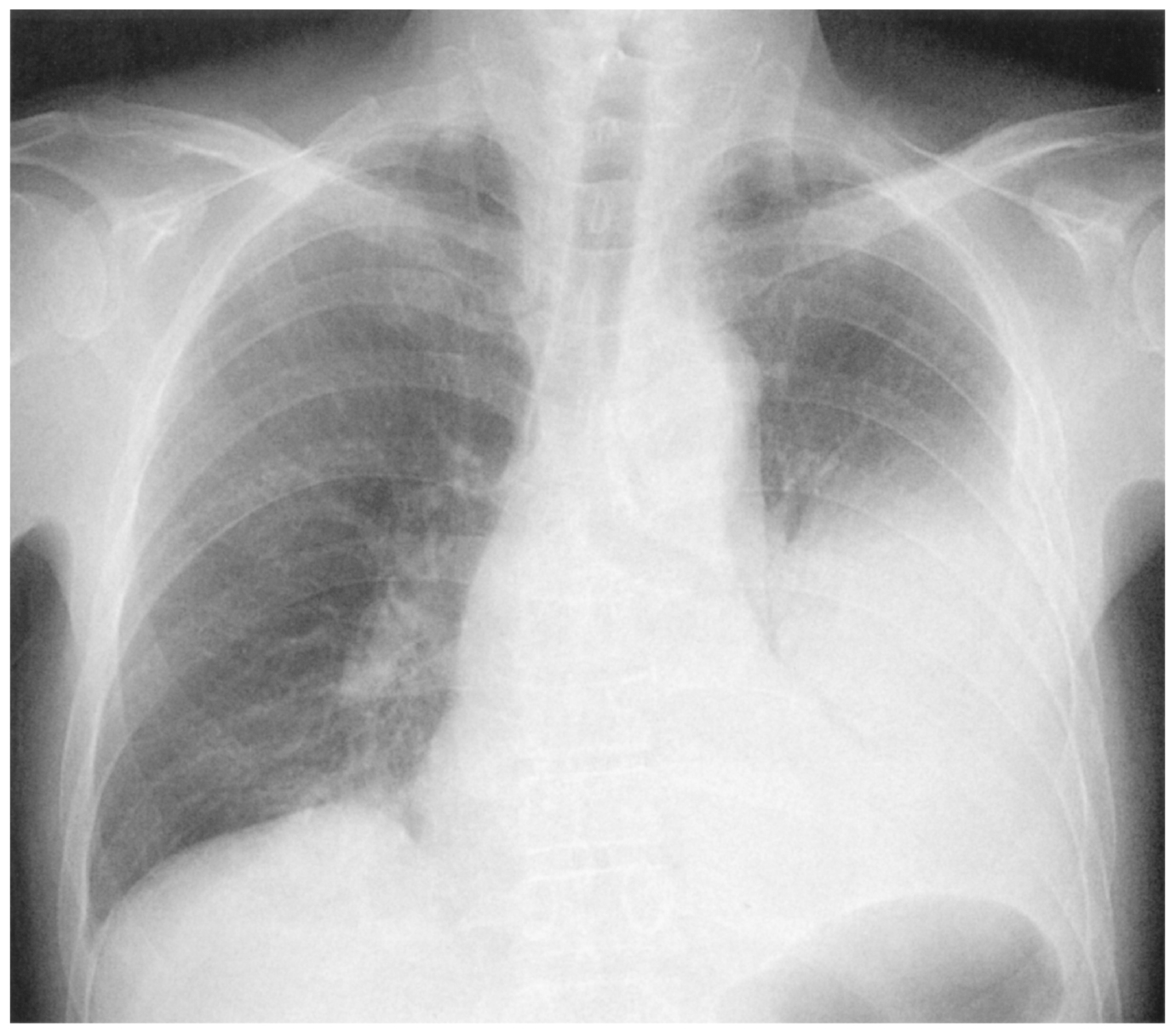
65歳の男性。発熱と胸痛を主訴に来院した。1週間前から咳嗽と喀痰を認めていた。3日前から発熱を伴い,膿性痰が増量し,昨日から胸痛を自覚したため受診した。56歳時から糖尿病の治療中である。60歳の妻と2人暮らし。喫煙は20歳から20本/日を45年間。飲酒は機会飲酒。意識は清明。身長174cm,体重71kg。体温38.3℃。脈拍84/分,整。血圧142/80mmHg。呼吸数20/分。SpO2 96%(room air)。眼瞼結膜と眼球結膜とに異常を認めない。頸静脈の怒張を認めない。心音に異常を認めない。左胸部の呼吸音が減弱している。腹部は平坦,軟で,肝・脾を触知しない。血液所見:赤血球502万,Hb 14.6g/dL,Ht 48%,白血球15,200,血小板23万。血液生化学所見:総蛋白7.0g/dL,アルブミン4.2g/dL,AST 36U/L,ALT 32U/L,LD 338U/L(基準124~222),尿素窒素10mg/dL,クレアチニン0.8mg/dL,空腹時血糖140mg/dL,HbA1c 7.0%(基準4.9~6.0),Na 139mEq/L,K 4.2mEq/L,Cl 103mEq/L。CRP 22mg/dL。胸部エックス線写真を下に示す。左胸腔にドレーンを挿入し,胸水のドレナージを行ったところ,胸水は混濁していた。採取した胸水には白血球を多数認め,Gram染色標本ではGram陽性球菌が確認された。
 適切な治療薬はどれか。

正解
a
国試正答率
100%

正解 a
※解説の掲載は,5月中旬を予定しています。

無料会員登録していただくと、実際の解説をすべて見ることができます。急性の呼吸困難を主訴とする疾患としては,喉頭浮腫,気道異物,自然気胸,気管支喘息,慢性閉塞性肺疾患の急性増悪などの呼吸器疾患,心不全(急性,慢性の急性増悪),肺血栓塞栓症などの循環器疾患が代表的である。この症例では呼吸器感染症と心不全が疑われるが,胸部エックス線写真は肺炎像というよりも両心不全を示唆する所見を示している。診断:心不全(両心不全)(Nohria分類wet and warm) 選択肢考察 ×a 強い呼吸困難,胸痛などにより安静が保てない場合には,血管拡張による前負荷軽減と,交感神経抑制による心筋酸素消費量の減少を目的としてモルヒネを使用する。この症例ではモルヒネが必要となるほどの興奮状態ではない。

無料会員登録して、解説をすべて見る