問題番号 : 120D20

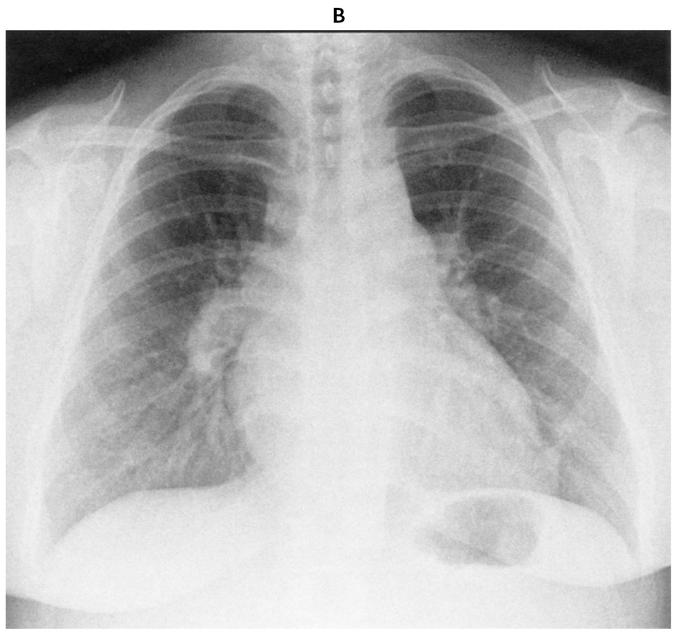
32歳の女性。呼吸困難を主訴に来院した。1か月前から労作時の呼吸困難を自覚していた。徐々に症状が増悪するため受診した。意識は清明。身長170cm,体重88kg。体温36.6℃。脈拍96/分,整。血圧128/68mmHg。呼吸数20/分。SpO2 90%(room air)。眼瞼結膜と眼球結膜とに異常を認めない。頸静脈の怒張を認める。心音はⅠ音正常,Ⅱ音亢進を認める。呼吸音に異常を認めない。腹部はやや膨満。下腿浮腫を認める。受診時の12誘導心電図(A)と胸部エックス線写真(B)とを下に示す。
 診断のための検査で優先度が低いのはどれか。

正解
d
国試正答率
61%

正解 d
※解説の掲載は,5月中旬を予定しています。

無料会員登録していただくと、実際の解説をすべて見ることができます。急性の呼吸困難を主訴とする疾患としては,喉頭浮腫,気道異物,自然気胸,気管支喘息,慢性閉塞性肺疾患の急性増悪などの呼吸器疾患,心不全(急性,慢性の急性増悪),肺血栓塞栓症などの循環器疾患が代表的である。この症例では呼吸器感染症と心不全が疑われるが,胸部エックス線写真は肺炎像というよりも両心不全を示唆する所見を示している。診断:心不全(両心不全)(Nohria分類wet and warm) 選択肢考察 ×a 強い呼吸困難,胸痛などにより安静が保てない場合には,血管拡張による前負荷軽減と,交感神経抑制による心筋酸素消費量の減少を目的としてモルヒネを使用する。この症例ではモルヒネが必要となるほどの興奮状態ではない。

無料会員登録して、解説をすべて見る