問題番号 : 120D17

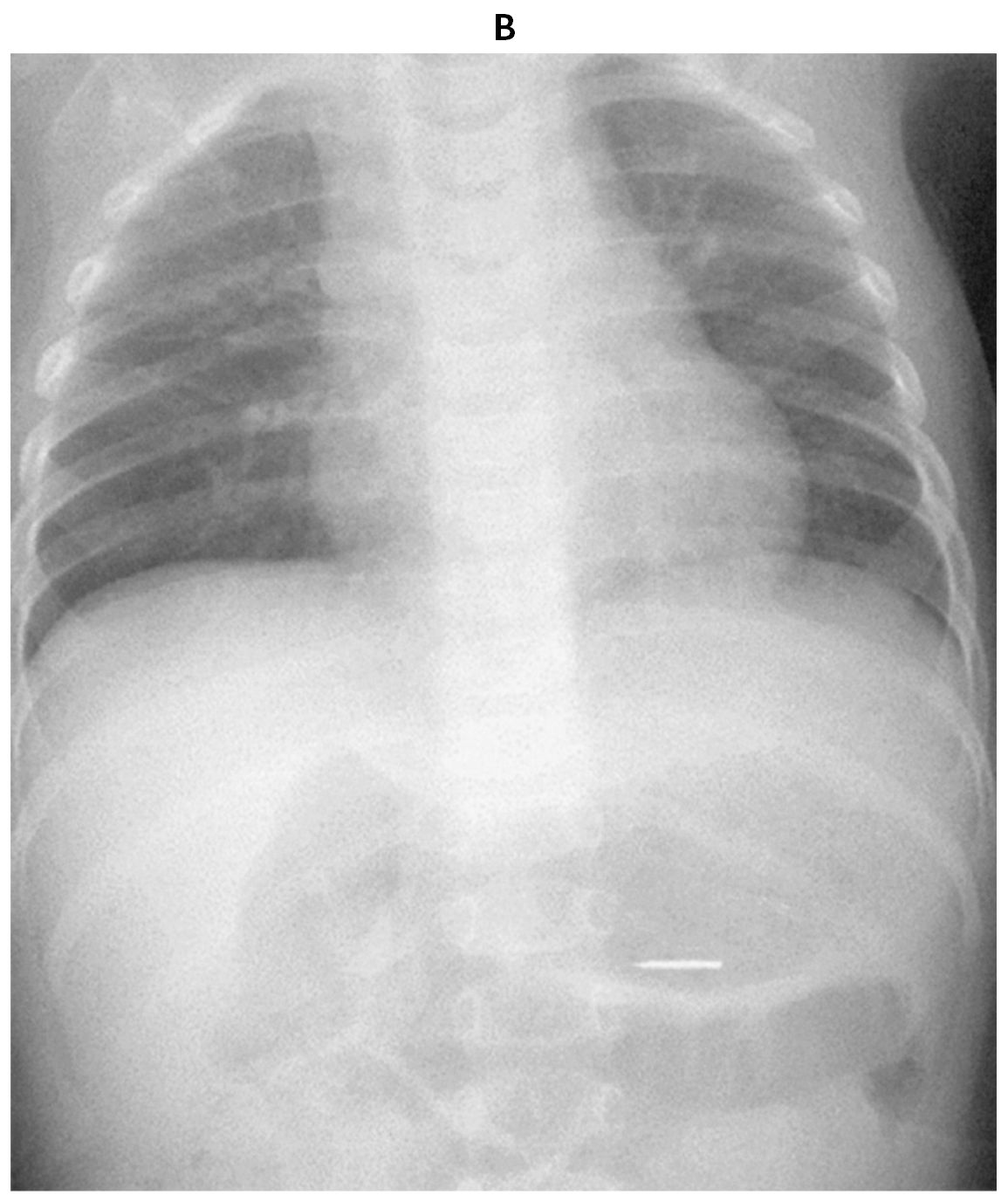
1歳3か月の女児。画鋲を誤飲したため救急車で搬入された。机の上に置いてあった画鋲を飲んだところを母親が目撃し,救急車を要請した。飲み込んだ画鋲と同じものを持参している。体温36.4℃。心拍数110/分,整。血圧84/50mmHg。呼吸数30/分。SpO2 98%(room air)。機嫌はよく,顔色は良好である。努力呼吸を認めず,呼吸音に異常を認めない。腹部を軽く触ると平坦で軟らかく,啼泣は認めない。持参した画鋲の写真(A)と来院時の胸腹部エックス線写真(B)を下に示す。
 適切な対応はどれか。

正解
e
国試正答率
96%

正解 e
※解説の掲載は,5月中旬を予定しています。

無料会員登録していただくと、実際の解説をすべて見ることができます。急性の呼吸困難を主訴とする疾患としては,喉頭浮腫,気道異物,自然気胸,気管支喘息,慢性閉塞性肺疾患の急性増悪などの呼吸器疾患,心不全(急性,慢性の急性増悪),肺血栓塞栓症などの循環器疾患が代表的である。この症例では呼吸器感染症と心不全が疑われるが,胸部エックス線写真は肺炎像というよりも両心不全を示唆する所見を示している。診断:心不全(両心不全)(Nohria分類wet and warm) 選択肢考察 ×a 強い呼吸困難,胸痛などにより安静が保てない場合には,血管拡張による前負荷軽減と,交感神経抑制による心筋酸素消費量の減少を目的としてモルヒネを使用する。この症例ではモルヒネが必要となるほどの興奮状態ではない。

無料会員登録して、解説をすべて見る