問題番号 : 120D16

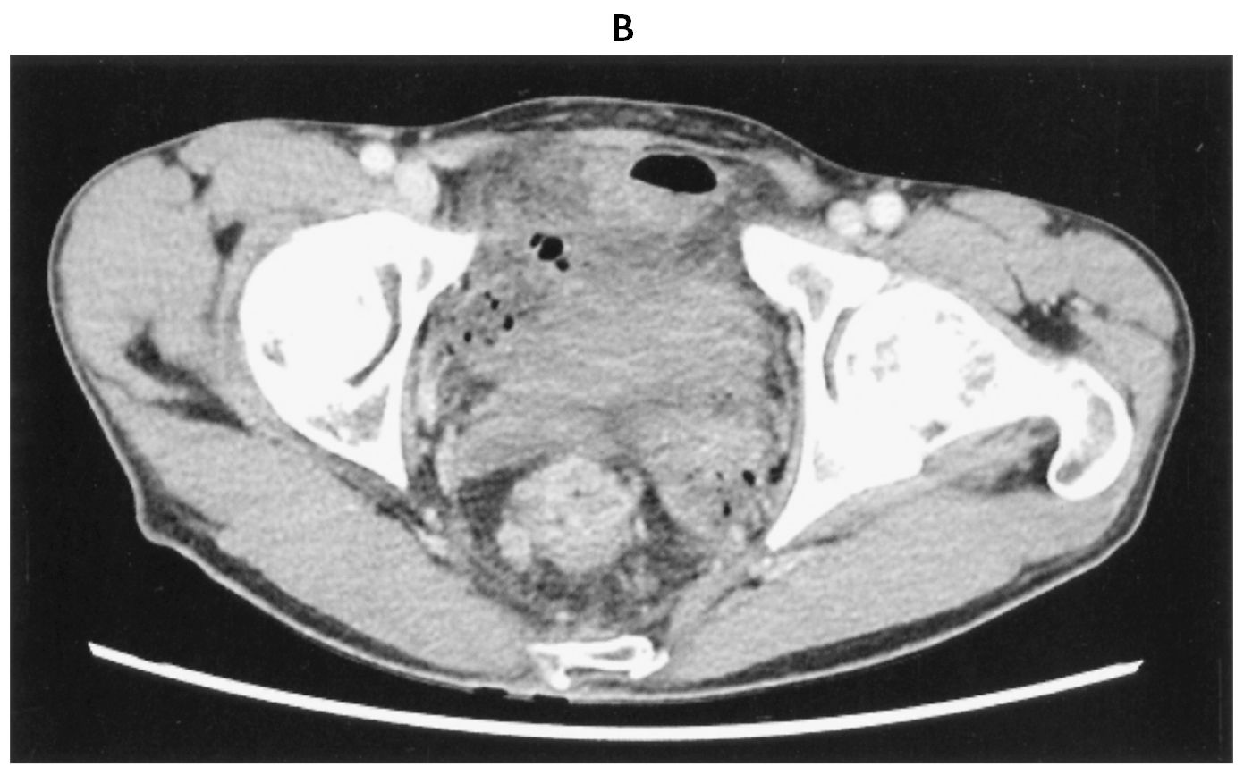
45歳の男性。下血を主訴に来院した。1か月前から排便時の出血を自覚していた。既往歴に特記すべきことはない。喫煙は20本/日を25年間。飲酒歴はない。意識は清明。身長170cm,体重54kg。体温36.4℃。脈拍68/分,整。血圧112/68mmHg。呼吸数12/分。SpO2 96%(room air)。眼瞼結膜と眼球結膜とに異常を認めない。心音と呼吸音とに異常を認めない。腹部は平坦,軟で,肝・脾を触知しない。血液所見:赤血球508万,Hb 15.2g/dL,Ht 45%,白血球6,400,血小板24万。血液生化学所見:総蛋白7.2g/dL,アルブミン4.8g/dL,総ビリルビン1.0mg/dL,直接ビリルビン0.2mg/dL,AST 18U/L,ALT 16U/L,LD 166U/L(基準124~222),ALP 63U/L(基準38~113),尿素窒素12mg/dL,クレアチニン0.8mg/dL,血糖92mg/dL,CEA 10.2ng/mL(基準5以下),CA19-9 32U/mL(基準37以下)。CRP 0.2mg/dL。下部消化管内視鏡検査の直腸像(A)と腹部造影CT(B)とを下に示す。その他画像検査で,遠隔転移は認めなかった。開腹手術を行うことにした。
 手術時の体位で正しいのはどれか。

正解
c
国試正答率
52%

正解 c
※解説の掲載は,5月中旬を予定しています。

無料会員登録していただくと、実際の解説をすべて見ることができます。急性の呼吸困難を主訴とする疾患としては,喉頭浮腫,気道異物,自然気胸,気管支喘息,慢性閉塞性肺疾患の急性増悪などの呼吸器疾患,心不全(急性,慢性の急性増悪),肺血栓塞栓症などの循環器疾患が代表的である。この症例では呼吸器感染症と心不全が疑われるが,胸部エックス線写真は肺炎像というよりも両心不全を示唆する所見を示している。診断:心不全(両心不全)(Nohria分類wet and warm) 選択肢考察 ×a 強い呼吸困難,胸痛などにより安静が保てない場合には,血管拡張による前負荷軽減と,交感神経抑制による心筋酸素消費量の減少を目的としてモルヒネを使用する。この症例ではモルヒネが必要となるほどの興奮状態ではない。

無料会員登録して、解説をすべて見る