問題番号 : 120C75

本問は,120C73~75の連問の一部です。

68歳の男性。発熱と腰痛を主訴に来院した。
現病歴:1週間前から腰痛,5日前から38℃台の発熱が出現した。発熱が持続し,腰痛が増悪してきたため外来を受診した。
既往歴:40歳台から高血圧症で降圧薬を服用している。50歳時に胃癌で①胃全摘②脾臓摘出歴がある。5年前から慢性腎不全で週に3回③血液透析を受けている
生活歴:喫煙は10本/日を40年間。④飲酒は日本酒2合を毎日⑤自宅でカメを飼育している
家族歴:母が70歳時に胃癌で死亡。
現 症:意識は清明。身長160cm,体重52kg。体温39.6℃。脈拍108/分,整。血圧124/64 mmHg。呼吸数24/分。SpO2 98%(room air)。眼瞼結膜と眼球結膜とに異常を認めない。心音と呼吸音とに異常を認めない。腹部は平坦,軟で,肝を触知しない。腹部正中に手術痕を認める。下腿に浮腫を認めない。下位腰椎に脊椎叩打痛を認める。下肢の筋力低下は認めない。
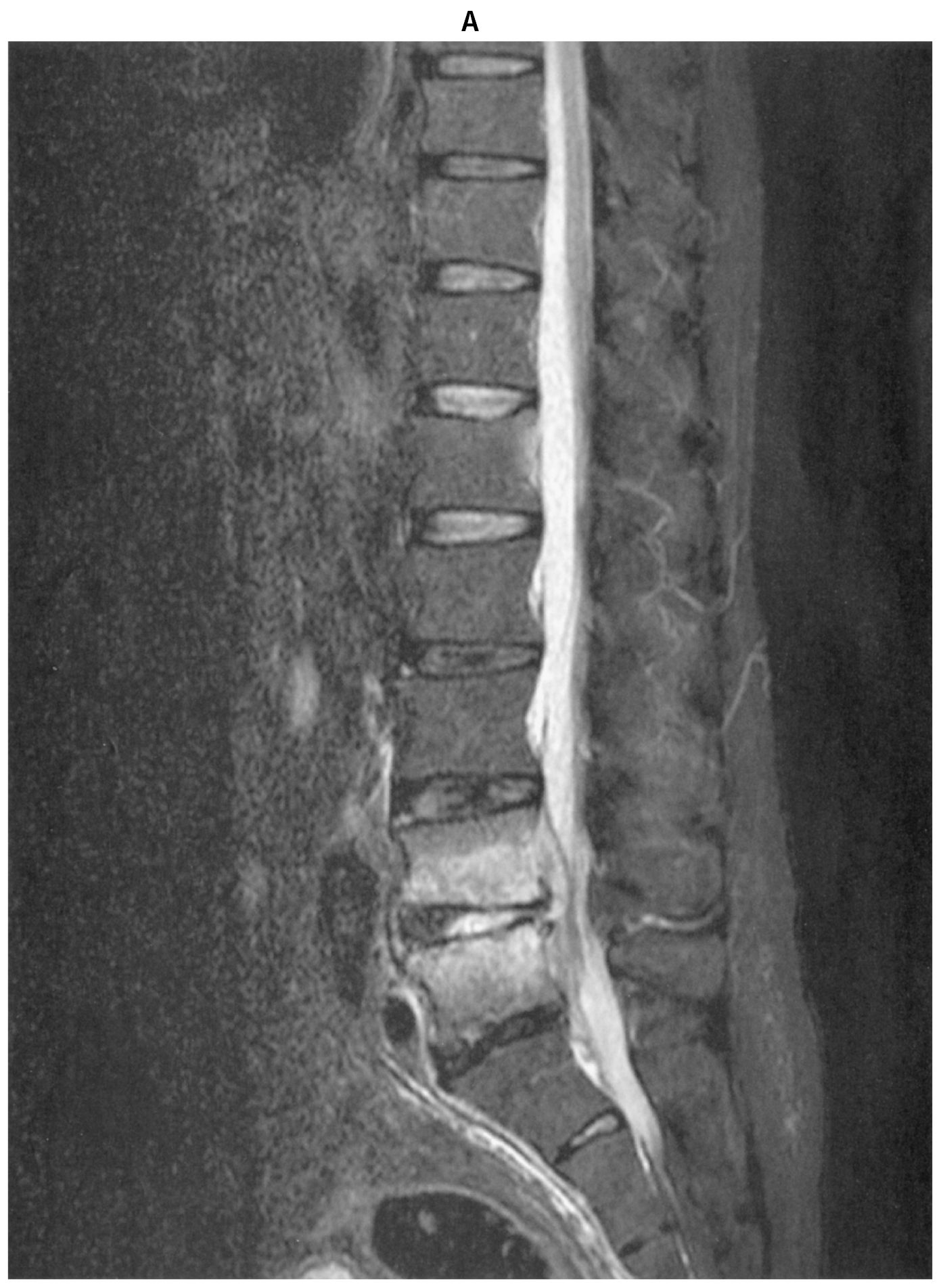
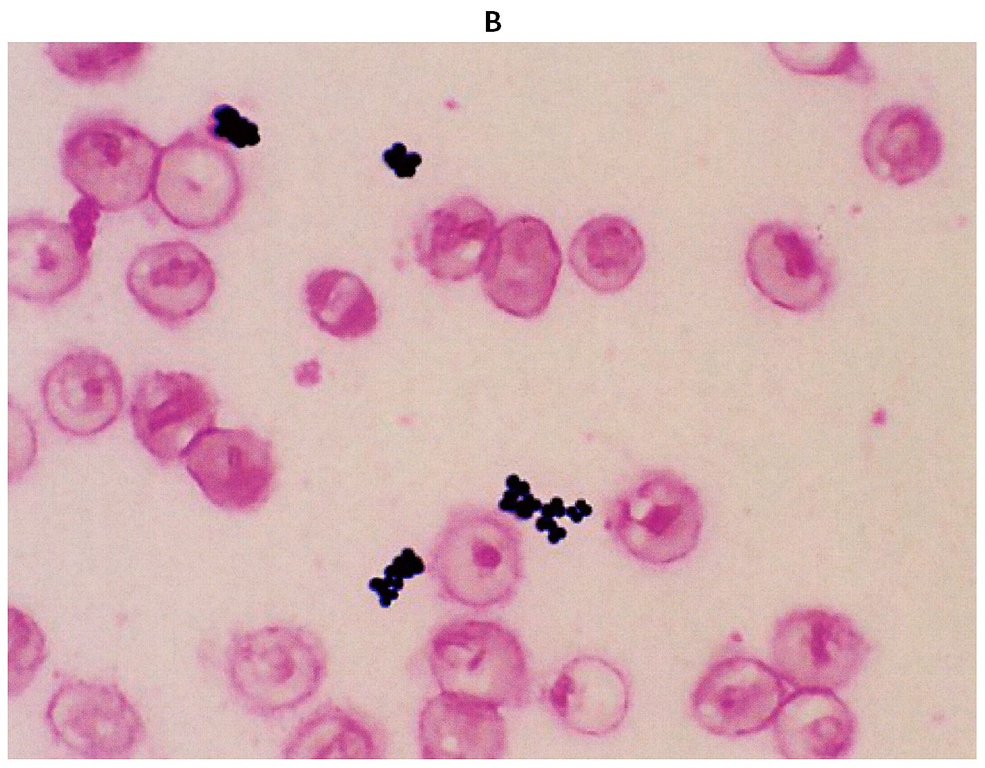
検査所見:血液所見:赤血球340万,Hb 12.4g/dL,Ht 37%,白血球11,100(好中球88%,好酸球1%,好塩基球1%,単球3%,リンパ球7%),血小板23万。血液生化学所見:総蛋白5.9g/dL,アルブミン2.6g/dL,総ビリルビン0.4mg/dL,AST 15U/L,ALT 11U/L,ALP 82U/L(基準38~113),γ-GT 11U/L(基準13~64),CK 50U/L(基準59~248),尿素窒素40mg/dL,クレアチニン3.7mg/dL,尿酸2.2mg/dL,血糖110mg/dL,HbA1c 5.8%(基準4.9~6.0),Na 143 mEq/L,K 3.5mEq/L,Cl 102mEq/L。CRP 14mg/dL。胸部エックス線写真で心胸郭比51%,両側肺野に浸潤影を認めない。腰椎単純MRIの脂肪抑制T2強調矢状断像(A)を下に示す。受診時に採取した血液培養が陽性となった。血液培養ボトル内容のGram染色標本(B)を下に示す。
入院となり抗菌薬治療を開始した後も発熱が持続し,患者が下肢の動かしづらさを訴えたため病棟で診察を行った。下肢の筋力低下を確認し,直腸指診も行った。
 直腸指診を行う際に,特に確認すべき所見はどれか。

正解
e
国試正答率
82%

正解 e
※解説の掲載は,5月中旬を予定しています。

無料会員登録していただくと、実際の解説をすべて見ることができます。急性の呼吸困難を主訴とする疾患としては,喉頭浮腫,気道異物,自然気胸,気管支喘息,慢性閉塞性肺疾患の急性増悪などの呼吸器疾患,心不全(急性,慢性の急性増悪),肺血栓塞栓症などの循環器疾患が代表的である。この症例では呼吸器感染症と心不全が疑われるが,胸部エックス線写真は肺炎像というよりも両心不全を示唆する所見を示している。診断:心不全(両心不全)(Nohria分類wet and warm) 選択肢考察 ×a 強い呼吸困難,胸痛などにより安静が保てない場合には,血管拡張による前負荷軽減と,交感神経抑制による心筋酸素消費量の減少を目的としてモルヒネを使用する。この症例ではモルヒネが必要となるほどの興奮状態ではない。

無料会員登録して、解説をすべて見る