本問は,120C61~63の連問の一部です。
28歳の女性。右下肢の脱力を主訴に来院した。
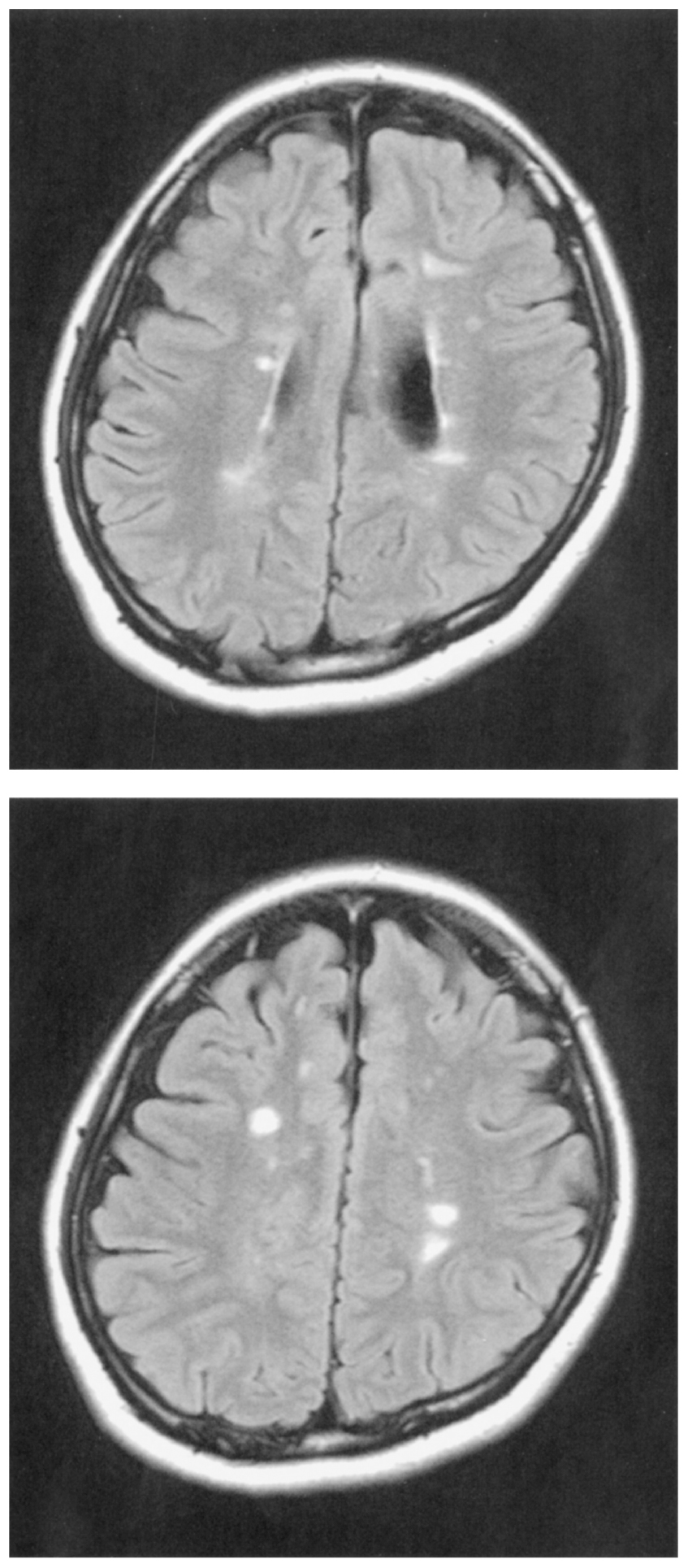
現病歴:8年前に左眼がかすんで見えたが,自然に軽快した。7日前に右下肢の脱力を自覚した。5日前から,お風呂に入ったとき,お湯の温かさを左下肢で感じなくなった。2日前から,走れなくなったため受診した。
既往歴:特記すべきことはない。
生活歴:職業は看護師。夫と2人暮らし。喫煙は10本/日を8年間。飲酒歴はない。
家族歴:母が橋本病。
現 症:意識は清明。身長162cm,体重52kg。体温36.6℃。脈拍84/分,整。血圧110/62mmHg。呼吸数16/分。心音と呼吸音とに異常を認めない。腹部は平坦,軟で,肝・脾を触知しない。皮疹を認めない。視力は右0.6(1.0×-1.5D),左0.8(1.2×-1.0D)。視野に異常を認めない。瞳孔径と眼裂に左右差はなく,眼球陥凹を認めない。他の脳神経も異常を認めない。四肢筋力は,両上肢と左下肢は正常,右下肢は徒手筋力テストで3~4の筋力低下を認める。腱反射は右下肢で亢進し,右Babinski徴候が陽性である。鼻指鼻試験,手回内・回外試験で異常を認めない。左下肢で温痛覚が低下しているが,振動覚,関節位置覚に異常を認めない。右下肢で振動覚,関節位置覚が低下しているが,温痛覚に異常を認めない。両上肢では感覚に異常を認めない。排尿と排便に異常を認めない。
検査所見:血液所見:赤血球460万,Hb 12.2g/dL,Ht 40%,白血球5,300,血小板23万。血液生化学所見:総蛋白7.0g/dL,アルブミン4.2g/dL,総ビリルビン0.8mg/dL,AST 21U/L,ALT 17U/L,LD 145U/L(基準124~222),尿素窒素13mg/dL,クレアチニン0.7mg/dL,血糖90mg/dL,HbA1c 5.3%(基準4.9~6.0),Na 140mEq/L,K 4.2mEq/L,Cl 102mEq/L。免疫血清学所見:CRP 0.1mg/dL,MPO-ANCA 2.0U/mL(基準3.5未満),PR3-ANCA 1.0U/mL(基準3.5未満),抗アクアポリン4抗体陰性。脳脊髄液所見:初圧90mmH2O(基準70~170),細胞数1/mm3(基準0~2)(すべて単核球),糖(定量)60mg/dL(基準50~75),蛋白(定量)62mg/dL(基準15~45)。
頭部単純MRIのFLAIR像を下に示す。同時に行われた頭部造影MRIでは異常な造影効果を認めた。
診断のために追加すべき検査はどれか。
