問題番号 : 120C51

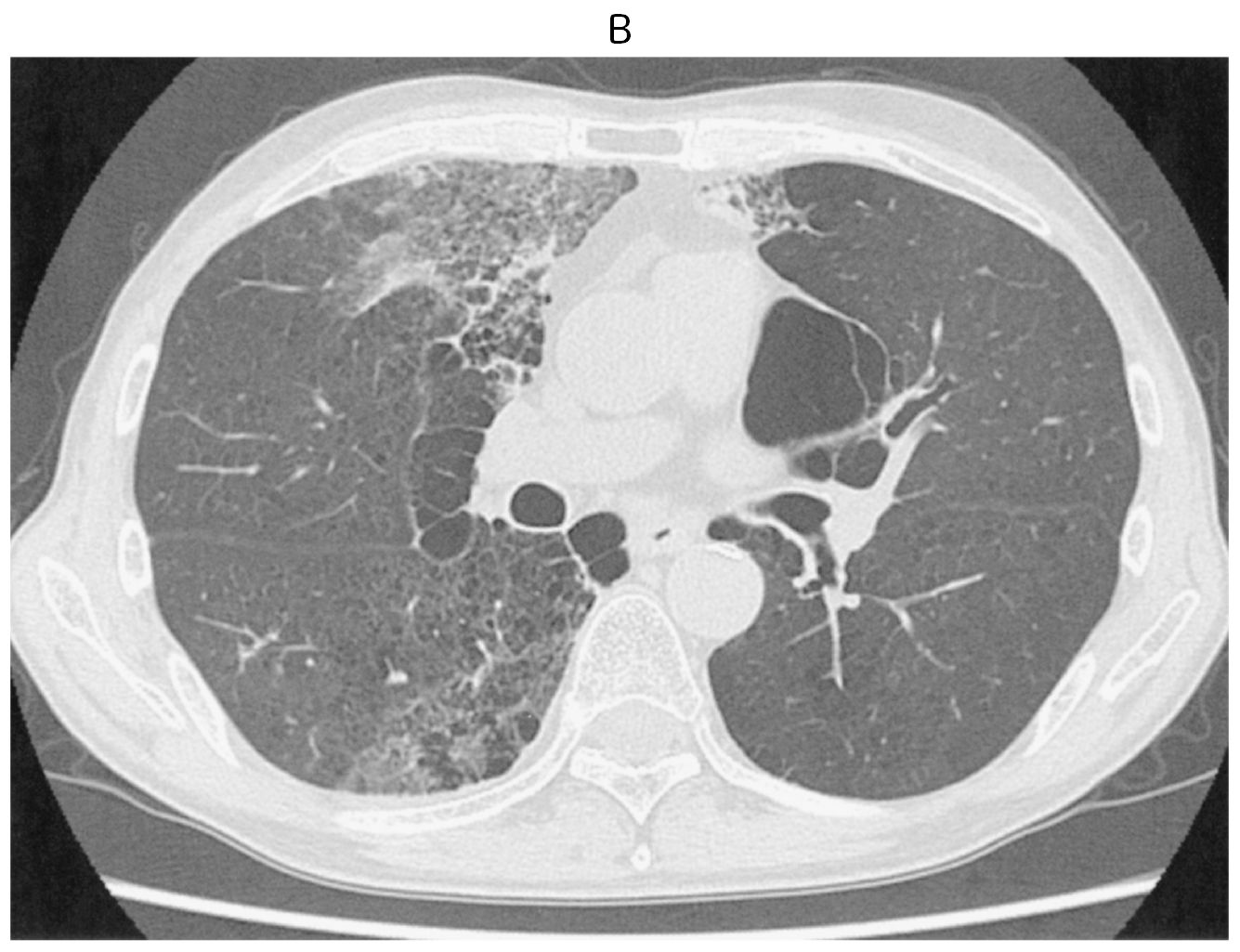
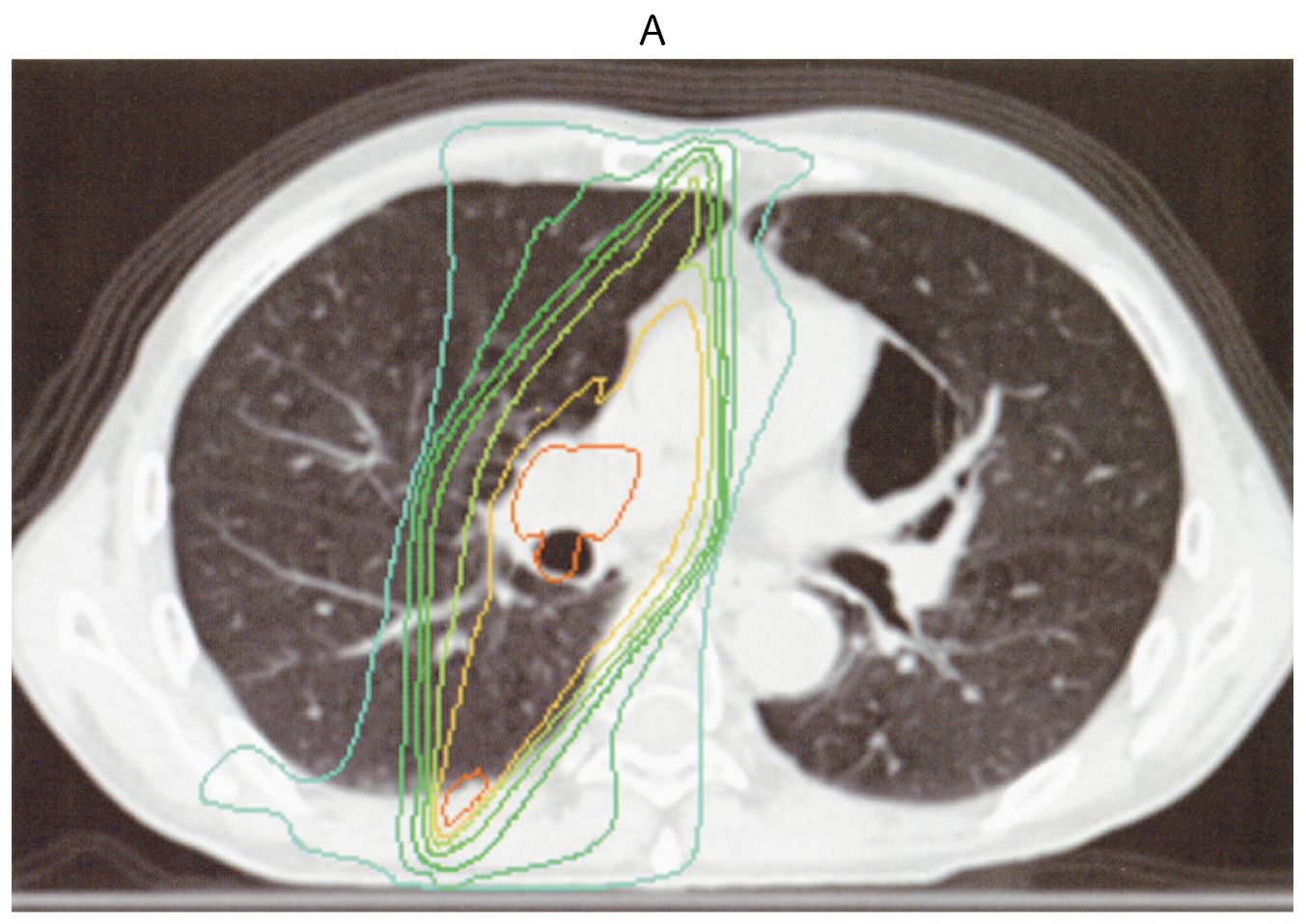
70歳の男性。1週間前からの咳と労作時の息切れを主訴に来院した。3か月前に肺小細胞癌(病期ⅢA)と診断された。診断時,自覚症状はなく,すぐに化学放射線療法が開始され,放射線治療は予定通り終了した。外来で化学療法の継続が予定されている。既往歴に特記すべきことはない。喫煙歴は30本/日を50年間。飲酒は機会飲酒。石綿などの粉塵吸入歴はない。意識は清明。身長170cm,体重62kg。体温36.5℃。呼吸数16/分。SpO2 90%(room air)。右胸部にfine cracklesを聴取する。血液所見:赤血球468万,Hb 13.9g/dL,Ht 42%,白血球7,800(分葉核好中球52%,好酸球2%,単球6%,リンパ球40%),血小板21万。血液生化学所見:LD 280U/L(基準124~222),BNP 10pg/mL(基準18.4以下)。免疫血清学所見:CRP 1.0mg/dL,β-D-グルカン2.2pg/mL(基準10以下)。胸部CT上の線量分布図(A)と受診時の胸部単純CT(B)とを下に示す。
 最も考えられる診断はどれか。

正解
c
国試正答率
100%

正解 c
※解説の掲載は,5月中旬を予定しています。

無料会員登録していただくと、実際の解説をすべて見ることができます。急性の呼吸困難を主訴とする疾患としては,喉頭浮腫,気道異物,自然気胸,気管支喘息,慢性閉塞性肺疾患の急性増悪などの呼吸器疾患,心不全(急性,慢性の急性増悪),肺血栓塞栓症などの循環器疾患が代表的である。この症例では呼吸器感染症と心不全が疑われるが,胸部エックス線写真は肺炎像というよりも両心不全を示唆する所見を示している。診断:心不全(両心不全)(Nohria分類wet and warm) 選択肢考察 ×a 強い呼吸困難,胸痛などにより安静が保てない場合には,血管拡張による前負荷軽減と,交感神経抑制による心筋酸素消費量の減少を目的としてモルヒネを使用する。この症例ではモルヒネが必要となるほどの興奮状態ではない。

無料会員登録して、解説をすべて見る