問題番号 : 120B42

本問は,120B41~42の連問の一部です。

84歳の男性。呼吸困難を主訴に来院した。
現病歴:昨日から呼吸困難があり,本日38.8℃の発熱もあり受診した。普段は平地を通常の速度で歩けるが,現在は室内の移動で呼吸困難がある。咳嗽も新たに出現し,喀痰は黄色である。
既往歴:慢性閉塞性肺疾患〈COPD〉を5年前に診断されて副腎皮質ステロイド/長時間作用性β2刺激薬/長時間作用性抗コリン薬の合剤を吸入し,高血圧症で降圧薬を内服している。
生活歴:喫煙は20歳から60歳まで60本/日,以後は禁煙している。飲酒歴はない。元会社員。
現 症:意識は清明。身長168cm,体重60kg。体温38.8℃。脈拍132/分,整。血圧146/78 mmHg。呼吸数28/分。SpO2 86%(room air)。眼瞼結膜と眼球結膜とに異常を認めない。咽頭に発赤や白苔を認めない。心音に異常を認めない。呼吸音は両側wheezesがあり,呼気が延長している。腹部は平坦,軟で,肝・脾を触知しない。四肢は浮腫を認めない。頸部の写真(A)と模式図(B)を下に示す。
次に検査所見を示す。
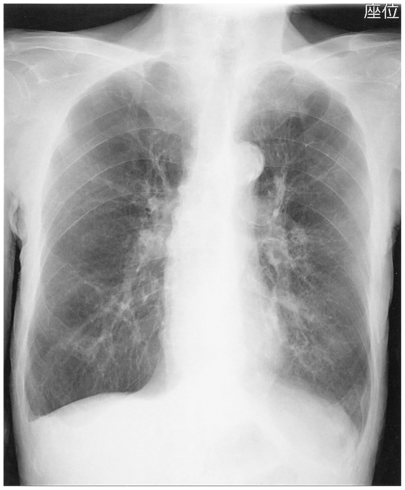
 血液所見:赤血球436万,Hb 13.0g/dL,Ht 39%,白血球16,460(好中球89%,好酸球0%,好塩基球0%,単球6%,リンパ球5%),血小板33万,PT-INR 1.0(基準0.9~1.1),Dダイマー0.5μg/mL(基準1.0以下)。血液生化学所見:総蛋白5.7g/dL,アルブミン3.3g/dL,総ビリルビン2.1mg/dL,直接ビリルビン0.6mg/dL,AST 27U/L,ALT 16U/L,LD 219U/L(基準124~222),ALP 112U/L(基準38~113),γ-GT 22U/L(基準13~64),CK 39U/L(基準59~248),尿素窒素28mg/dL,クレアチニン0.6mg/dL,尿酸6.9mg/dL,血糖177mg/dL,HbA1c 5.6%(基準4.9~6.0),Na 138mEq/L,K 3.7mEq/L,Cl 100mEq/L。CRP 10.1mg/dL。動脈血ガス分析(room air):pH 7.45,PaCO2 38 Torr,PaO2 54 Torr,HCO3 24mEq/L。心電図は洞性頻脈でST-T変化を認めない。胸部エックス線写真を下に示す。
 入院することとなり,SpO2 92%以上となるように酸素投与が開始された。血液培養2セットと喀痰培養検体を提出した。
 現時点の治療で適切でないのはどれか。

正解
d
国試正答率
96%

正解 d
※解説の掲載は,5月中旬を予定しています。

無料会員登録していただくと、実際の解説をすべて見ることができます。急性の呼吸困難を主訴とする疾患としては,喉頭浮腫,気道異物,自然気胸,気管支喘息,慢性閉塞性肺疾患の急性増悪などの呼吸器疾患,心不全(急性,慢性の急性増悪),肺血栓塞栓症などの循環器疾患が代表的である。この症例では呼吸器感染症と心不全が疑われるが,胸部エックス線写真は肺炎像というよりも両心不全を示唆する所見を示している。診断:心不全(両心不全)(Nohria分類wet and warm) 選択肢考察 ×a 強い呼吸困難,胸痛などにより安静が保てない場合には,血管拡張による前負荷軽減と,交感神経抑制による心筋酸素消費量の減少を目的としてモルヒネを使用する。この症例ではモルヒネが必要となるほどの興奮状態ではない。

無料会員登録して、解説をすべて見る