問題番号 : 120B36

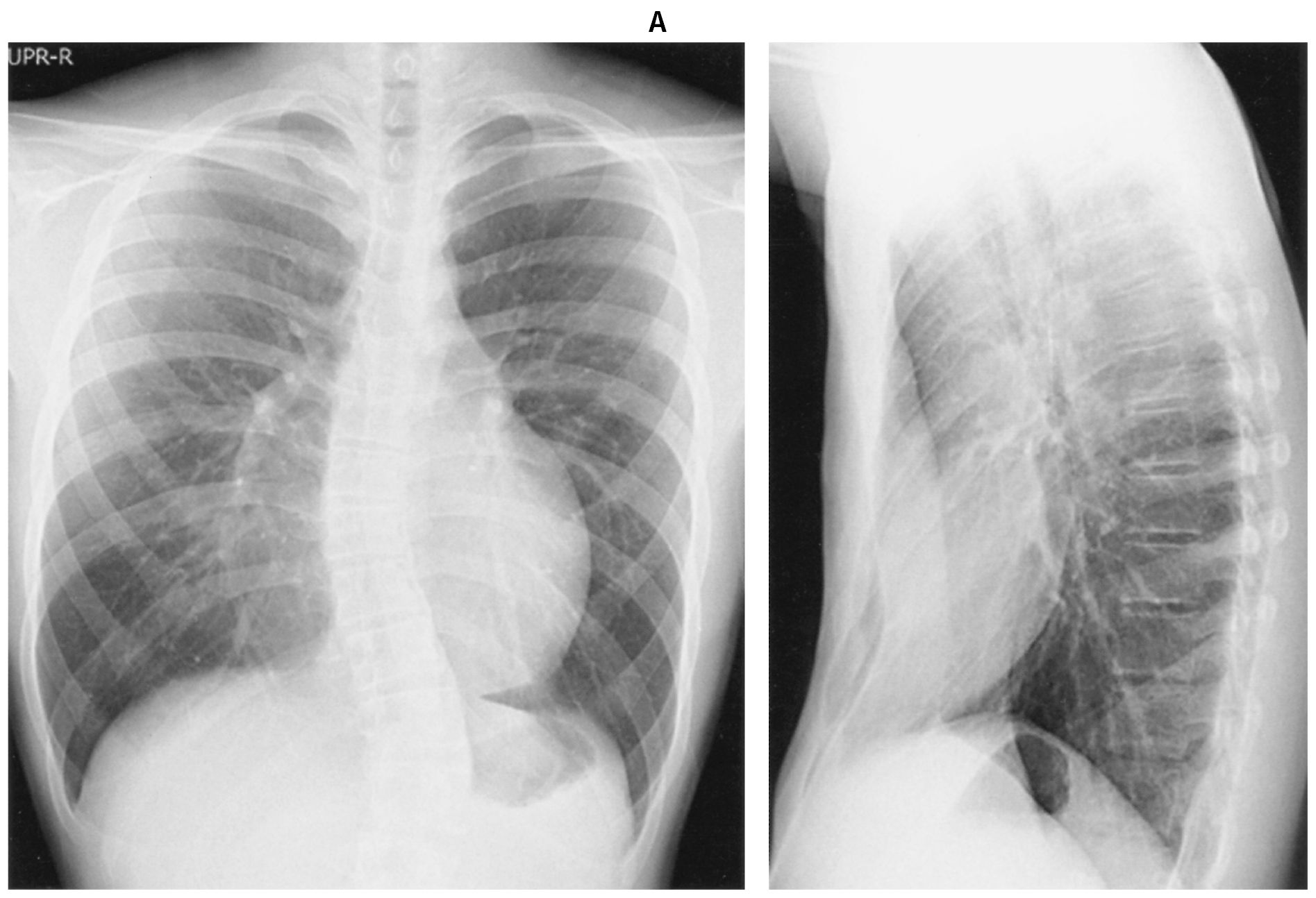
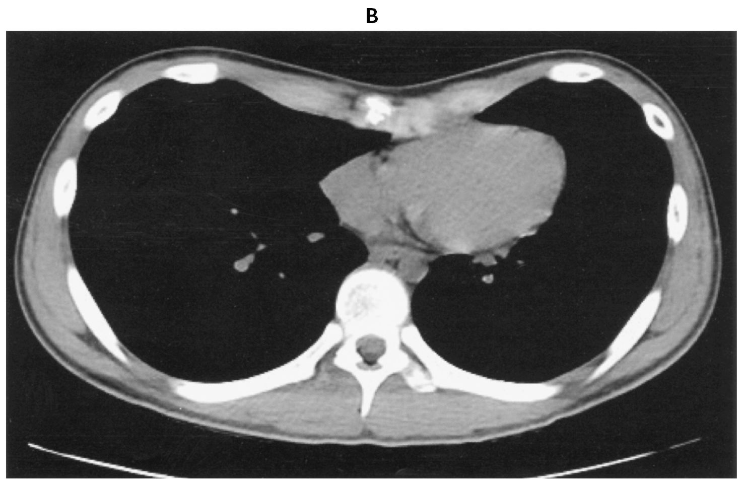
12歳の男児。胸郭の変形を主訴に来院した。学校で着替えの際に友人に胸の形について指摘され,本人が気にしている。自覚症状はない。意識は清明。身長158cm,体重40kg。体温36.6℃。脈拍60/分,整。血圧122/76mmHg。SpO2 96%(room air)。胸部エックス線写真(A)と胸部単純CT(B)とを下に示す。
 身体所見としてみられるのはどれか。

正解
b
国試正答率
98%

正解 b
※解説の掲載は,5月中旬を予定しています。

無料会員登録していただくと、実際の解説をすべて見ることができます。急性の呼吸困難を主訴とする疾患としては,喉頭浮腫,気道異物,自然気胸,気管支喘息,慢性閉塞性肺疾患の急性増悪などの呼吸器疾患,心不全(急性,慢性の急性増悪),肺血栓塞栓症などの循環器疾患が代表的である。この症例では呼吸器感染症と心不全が疑われるが,胸部エックス線写真は肺炎像というよりも両心不全を示唆する所見を示している。診断:心不全(両心不全)(Nohria分類wet and warm) 選択肢考察 ×a 強い呼吸困難,胸痛などにより安静が保てない場合には,血管拡張による前負荷軽減と,交感神経抑制による心筋酸素消費量の減少を目的としてモルヒネを使用する。この症例ではモルヒネが必要となるほどの興奮状態ではない。

無料会員登録して、解説をすべて見る