問題番号 : 120B26

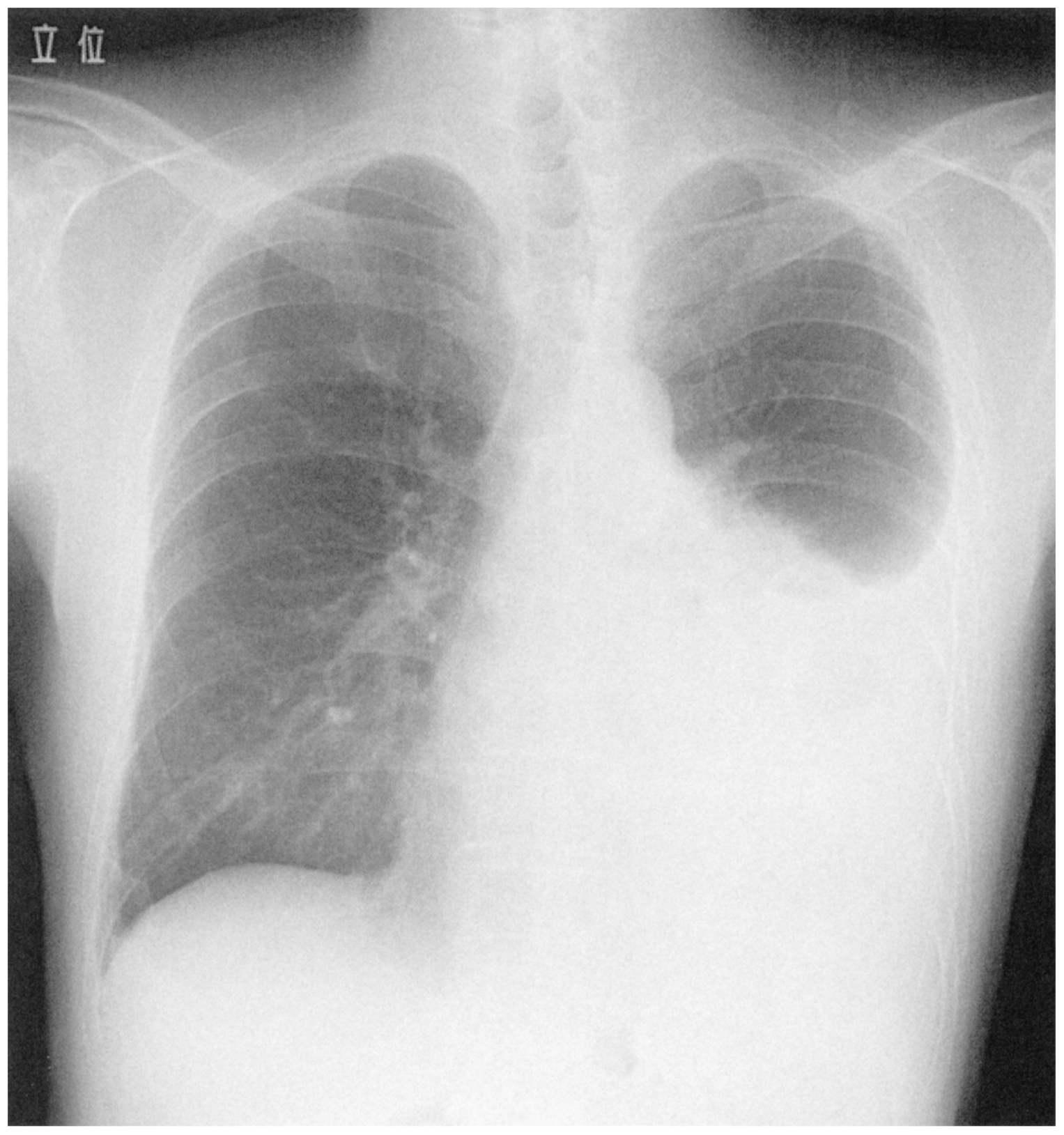
73歳の男性。胸痛,発熱および呼吸困難を主訴に来院した。3日前から咳,倦怠感,胸痛および発熱が出現した。今朝から胸痛が悪化し,呼吸困難も出現したため受診した。痛みは左側胸部から背部に自覚し,咳や深呼吸で増悪する。意識は清明。体温38.5℃。脈拍108/分,整。血圧132/68mmHg。呼吸数24/分。SpO2 92%(room air)。心音に異常を認めない。左下肺野の聴診で呼吸音は減弱し,打診で濁音を認める。腹部は平坦,軟で,肝・脾を触知しない。下肢に浮腫は認めない。心電図に異常を認めない。胸部エックス線写真を下に示す。
 最も考えられる疾患はどれか。

正解
b
国試正答率
97%

正解 b
※解説の掲載は,5月中旬を予定しています。

無料会員登録していただくと、実際の解説をすべて見ることができます。急性の呼吸困難を主訴とする疾患としては,喉頭浮腫,気道異物,自然気胸,気管支喘息,慢性閉塞性肺疾患の急性増悪などの呼吸器疾患,心不全(急性,慢性の急性増悪),肺血栓塞栓症などの循環器疾患が代表的である。この症例では呼吸器感染症と心不全が疑われるが,胸部エックス線写真は肺炎像というよりも両心不全を示唆する所見を示している。診断:心不全(両心不全)(Nohria分類wet and warm) 選択肢考察 ×a 強い呼吸困難,胸痛などにより安静が保てない場合には,血管拡張による前負荷軽減と,交感神経抑制による心筋酸素消費量の減少を目的としてモルヒネを使用する。この症例ではモルヒネが必要となるほどの興奮状態ではない。

無料会員登録して、解説をすべて見る