問題番号 : 120A72

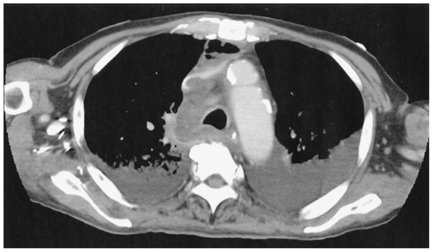
71歳の男性。呼吸困難を主訴に来院した。3日前から歯痛と咽頭痛があり,2日前から頸部の痛みと腫脹を伴い,昨夜から前胸部痛と呼吸困難を自覚したため受診した。既往歴に高血圧と2型糖尿病がある。体温38.9℃。脈拍100/分,整。血圧88/60mmHg。呼吸数28/分。SpO2 91%(room air)。頸部に圧痛と腫脹を認める。血液所見:白血球15,500。CRP 32mg/dL。胸部造影CTを下に示す。
 適切な治療はどれか。2つ選べ

正解
a, e
国試正答率
97%

正解 ae
※解説の掲載は,5月中旬を予定しています。

無料会員登録していただくと、実際の解説をすべて見ることができます。急性の呼吸困難を主訴とする疾患としては,喉頭浮腫,気道異物,自然気胸,気管支喘息,慢性閉塞性肺疾患の急性増悪などの呼吸器疾患,心不全(急性,慢性の急性増悪),肺血栓塞栓症などの循環器疾患が代表的である。この症例では呼吸器感染症と心不全が疑われるが,胸部エックス線写真は肺炎像というよりも両心不全を示唆する所見を示している。診断:心不全(両心不全)(Nohria分類wet and warm) 選択肢考察 ×a 強い呼吸困難,胸痛などにより安静が保てない場合には,血管拡張による前負荷軽減と,交感神経抑制による心筋酸素消費量の減少を目的としてモルヒネを使用する。この症例ではモルヒネが必要となるほどの興奮状態ではない。

無料会員登録して、解説をすべて見る