問題番号 : 120A67

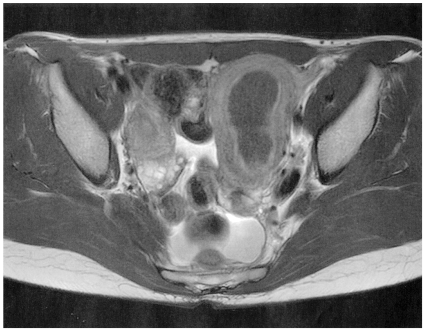
16歳の女子。毎月の月経時の強い下腹部痛を主訴に来院した。初経時より月経時の強い下腹部痛を自覚するようになった。月経時の下腹部痛が増強し,自宅近くの医療機関を受診したところ,左腎無形成と診断された。その後も毎月強い月経困難症が持続するため,紹介されて来院した。定期的な月経はあるが,毎回月経2~3日目に強い下腹部痛が出現し,鎮痛薬でも効果が乏しい。性交歴はない。初経は13歳。月経周期は28日型,整。経血量は正常範囲内である。体温36.0℃。脈拍88/分,整。血圧114/72mmHg。左下腹部に径10cmの腫瘤を触知し,付属器は触知しない。同部に圧痛を認める。骨盤部単純MRIのT2強調像を下に示す。
 最も考えられるのはどれか。

正解
a
国試正答率
47%

正解 a
※解説の掲載は,5月中旬を予定しています。

無料会員登録していただくと、実際の解説をすべて見ることができます。急性の呼吸困難を主訴とする疾患としては,喉頭浮腫,気道異物,自然気胸,気管支喘息,慢性閉塞性肺疾患の急性増悪などの呼吸器疾患,心不全(急性,慢性の急性増悪),肺血栓塞栓症などの循環器疾患が代表的である。この症例では呼吸器感染症と心不全が疑われるが,胸部エックス線写真は肺炎像というよりも両心不全を示唆する所見を示している。診断:心不全(両心不全)(Nohria分類wet and warm) 選択肢考察 ×a 強い呼吸困難,胸痛などにより安静が保てない場合には,血管拡張による前負荷軽減と,交感神経抑制による心筋酸素消費量の減少を目的としてモルヒネを使用する。この症例ではモルヒネが必要となるほどの興奮状態ではない。

無料会員登録して、解説をすべて見る