問題番号 : 120A65

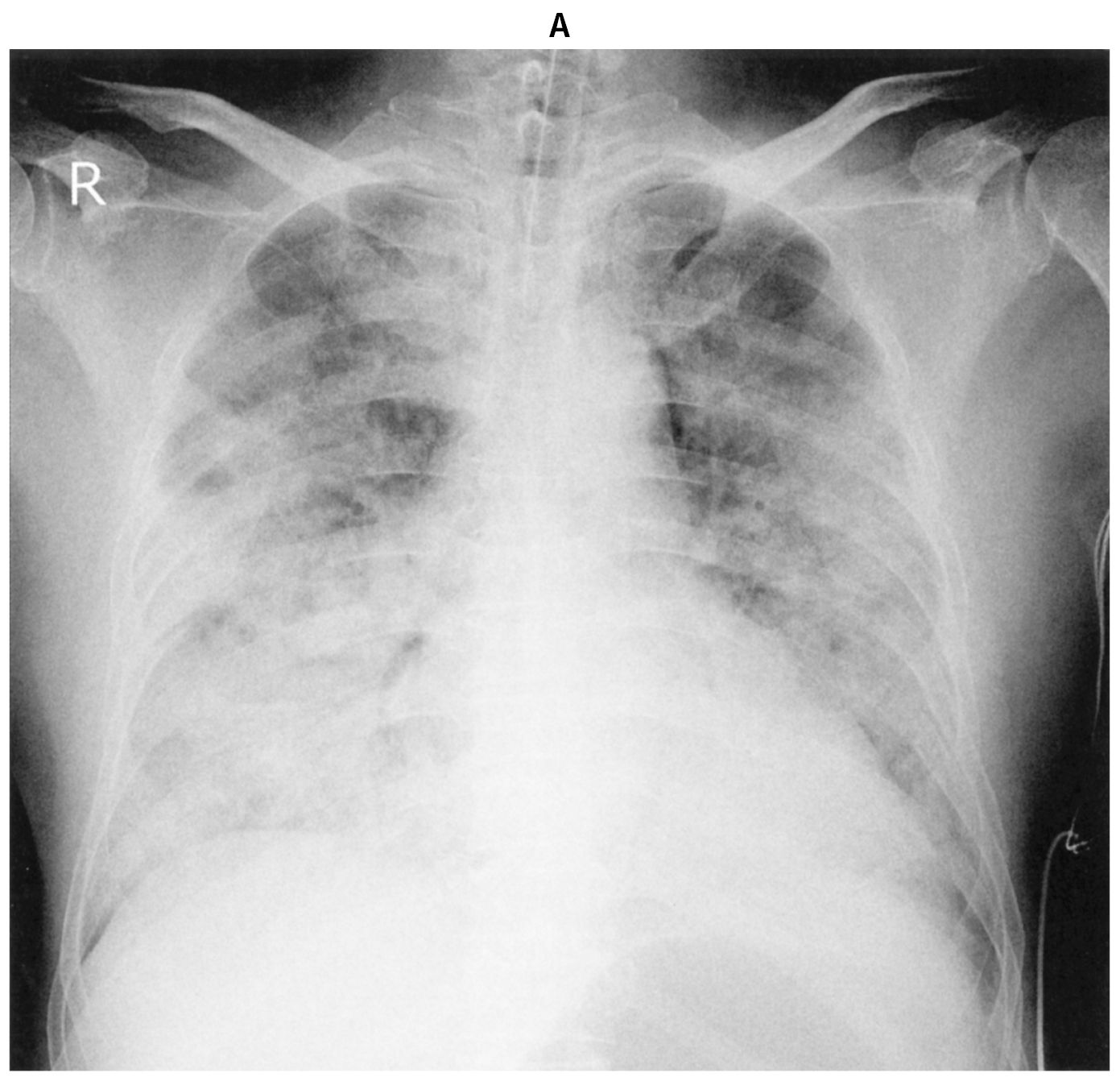
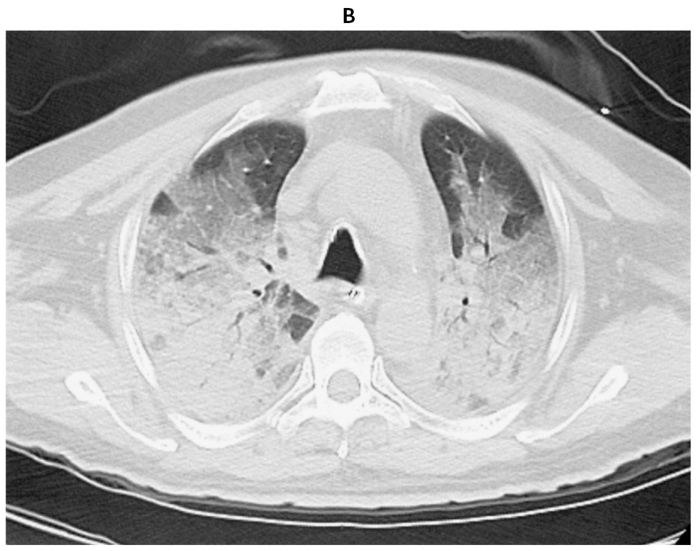
65歳の男性。呼吸困難と意識障害を主訴に救急搬入された。海でシュノーケリング中に溺れすぐに救助されたが,激しい咳嗽と呼吸困難を訴え,意識がもうろうとしており救急要請された。救助30分後の病院搬入時,顔色不良。意識レベルはGCS 8(E3V1M4)。体温37.1℃。脈拍128/分,整。血圧110/84 mmHg。呼吸数28/分。SpO2 84%(リザーバー付マスク10L/分 酸素投与下)。頸静脈の怒張はなく,両側肺でcoarse cracklesを聴取する。心音は整で頻脈,心雑音は聴取されず,下腿浮腫も認めない。血液所見:赤血球468万,Hb 12.2g/dL,Ht 37%,白血球7,100,血小板27万。血液生化学所見:総ビリルビン0.7mg/dL,AST 18U/L,ALT 14U/L,LD 250U/L(基準124~222),γ-GT 15U/L(基準13~64),CK 144U/L(基準59~248),尿素窒素18mg/dL,クレアチニン0.8mg/dL,血糖120mg/dL,Na 146mEq/L,K 3.6mEq/L,Cl 113mEq/L。CRP 0.1mg/dL。動脈血ガス分析(リザーバー付マスク10L/分 酸素投与下):pH 7.30,PaCO2 53 Torr,PaO2 50 Torr,HCO3 15mEq/L。心電図は洞性頻脈。ベッドサイドで行った心エコー検査では壁運動は正常で,心嚢液の貯留も認めない。救急室で気管挿管後,気管チューブから海水が吸引された。挿管後に撮影した胸部エックス線写真(A)と胸部単純CT(B)とを下に示す。
 この患者の治療で適切なのはどれか。

正解
e
国試正答率
75%

正解 e
※解説の掲載は,5月中旬を予定しています。

無料会員登録していただくと、実際の解説をすべて見ることができます。急性の呼吸困難を主訴とする疾患としては,喉頭浮腫,気道異物,自然気胸,気管支喘息,慢性閉塞性肺疾患の急性増悪などの呼吸器疾患,心不全(急性,慢性の急性増悪),肺血栓塞栓症などの循環器疾患が代表的である。この症例では呼吸器感染症と心不全が疑われるが,胸部エックス線写真は肺炎像というよりも両心不全を示唆する所見を示している。診断:心不全(両心不全)(Nohria分類wet and warm) 選択肢考察 ×a 強い呼吸困難,胸痛などにより安静が保てない場合には,血管拡張による前負荷軽減と,交感神経抑制による心筋酸素消費量の減少を目的としてモルヒネを使用する。この症例ではモルヒネが必要となるほどの興奮状態ではない。

無料会員登録して、解説をすべて見る