問題番号 : 120A60

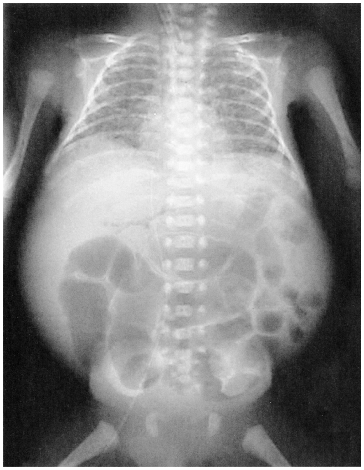
日齢15の男児。NICU入院中に看護師が血便に気付いたため医師に報告した。在胎26週,前期破水のために緊急帝王切開で出生した。出生後すぐに気管挿管され,保育器内で人工呼吸管理を行われていた。栄養は人工乳を経鼻胃管から注入され,排便も1日2回はみられていた。今朝,経鼻胃管から胆汁を混じた胃液が10mL吸引された。身長32cm,体重830g。体温37.2℃。心拍数180/分,整。血圧46/24mmHg。呼吸数40/分(呼吸器設定:換気回数40/分,FIO2 0.25)。SpO2 96%。腹部膨隆を認め,腫瘤は触知せず,腹壁の色は暗赤色であった。血液所見;赤血球317万,Hb 12.1g/dL,Ht 37%,血小板12万。静脈血ガス分析:pH 7.17,PCO2 55 Torr,HCO3 20mEq/L。胸腹部エックス線写真を下に示す。
 最も考えられる疾患はどれか。

正解
b
国試正答率
80%

正解 b
※解説の掲載は,5月中旬を予定しています。

無料会員登録していただくと、実際の解説をすべて見ることができます。急性の呼吸困難を主訴とする疾患としては,喉頭浮腫,気道異物,自然気胸,気管支喘息,慢性閉塞性肺疾患の急性増悪などの呼吸器疾患,心不全(急性,慢性の急性増悪),肺血栓塞栓症などの循環器疾患が代表的である。この症例では呼吸器感染症と心不全が疑われるが,胸部エックス線写真は肺炎像というよりも両心不全を示唆する所見を示している。診断:心不全(両心不全)(Nohria分類wet and warm) 選択肢考察 ×a 強い呼吸困難,胸痛などにより安静が保てない場合には,血管拡張による前負荷軽減と,交感神経抑制による心筋酸素消費量の減少を目的としてモルヒネを使用する。この症例ではモルヒネが必要となるほどの興奮状態ではない。

無料会員登録して、解説をすべて見る