問題番号 : 120A47

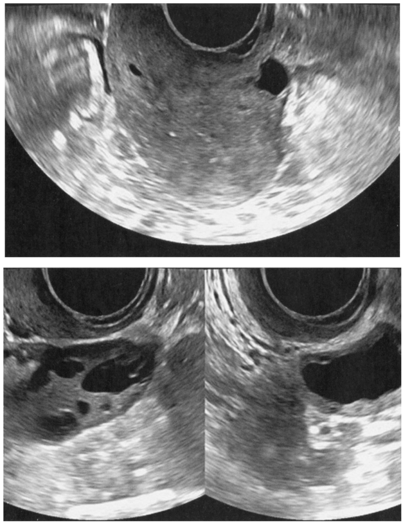
32歳の女性(1妊0産)。月経量の減少を主訴に来院した。6か月前から月経量と持続日数が減少している。月経周期は28日型,整,持続1日間。8か月前に妊娠10週で流産手術を受けたが,手術後しばらく腹痛と発熱が持続し,保存的治療で軽快した。流産以前の月経持続日数は6日間であった。身長158cm,体重62kg。体温36.2℃。脈拍72/分,整。血圧120/76mmHg。内診で子宮は正常大で,両側付属器は触知しない。血液所見:赤血球440万,Hb 12.2g/dL,Ht 44%,白血球6,600,血小板20万。血液生化学所見(月経7日目):LH 6.2 mIU/mL(基準1.8~7.6),FSH 7.8 mIU/mL(基準5.2~14.4),プロラクチン〈PRL〉6.6 ng/mL(基準15以下),エストラジオール120pg/mL(基準11~230),テストステロン42ng/dL(基準30~90)。経腟超音波像を下に示す。
 診断のために必要な検査はどれか。

正解
a
国試正答率
76%

正解 a
※解説の掲載は,5月中旬を予定しています。

無料会員登録していただくと、実際の解説をすべて見ることができます。急性の呼吸困難を主訴とする疾患としては,喉頭浮腫,気道異物,自然気胸,気管支喘息,慢性閉塞性肺疾患の急性増悪などの呼吸器疾患,心不全(急性,慢性の急性増悪),肺血栓塞栓症などの循環器疾患が代表的である。この症例では呼吸器感染症と心不全が疑われるが,胸部エックス線写真は肺炎像というよりも両心不全を示唆する所見を示している。診断:心不全(両心不全)(Nohria分類wet and warm) 選択肢考察 ×a 強い呼吸困難,胸痛などにより安静が保てない場合には,血管拡張による前負荷軽減と,交感神経抑制による心筋酸素消費量の減少を目的としてモルヒネを使用する。この症例ではモルヒネが必要となるほどの興奮状態ではない。

無料会員登録して、解説をすべて見る