問題番号 : 120A46

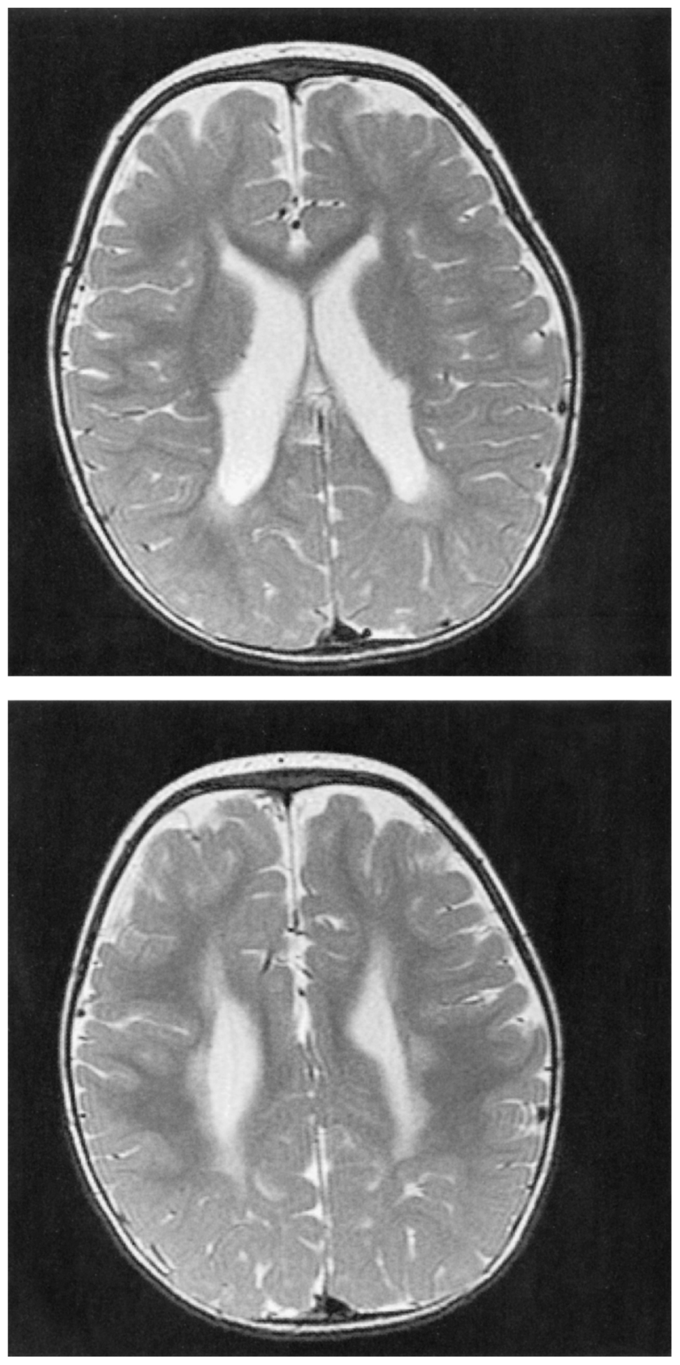
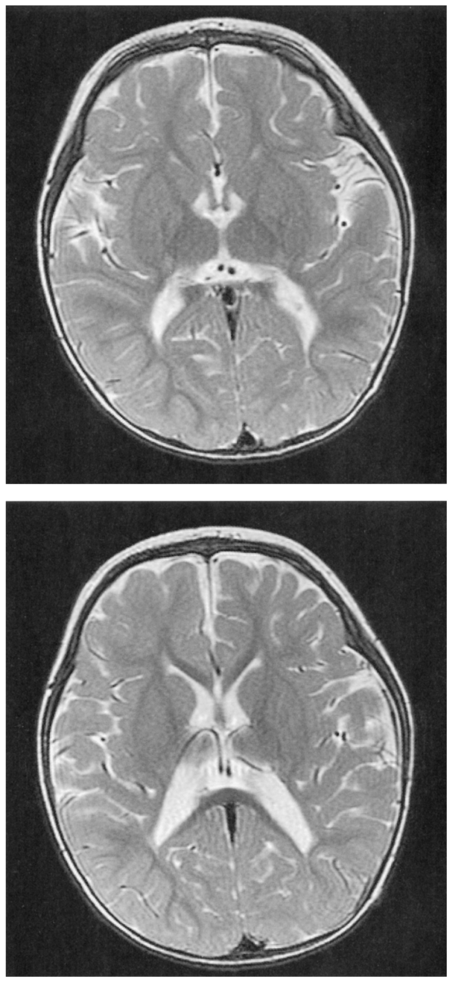
2歳の女児。早産児の定期外来のため母親に連れられて来院した。出生歴は,在胎29週,体重1,020g,Apgarスコアは7点(1分),8点(5分)で出生した。NICUに約4か月間入院した。入院中に光線療法を2日間行った。退院後は外来で定期的に経過観察されており,独歩がまだできない。意識は清明。身長82cm,体重10.5kg。体温37.1℃。脈拍112/分,整。呼吸数26/分。SpO2 98%(room air)。頭囲の拡大は認めない。心音と呼吸音とに異常を認めない。腹部は平坦,軟で,肝・脾を触知しない。皮膚に異常を認めない。下肢に筋緊張と腱反射の亢進を認め,尖足位である。Babinski徴候は陽性である。頭部単純MRIのT2強調像を下に示す。
 最も考えられるのはどれか。

正解
a
国試正答率
80%

正解 a
※解説の掲載は,5月中旬を予定しています。

無料会員登録していただくと、実際の解説をすべて見ることができます。急性の呼吸困難を主訴とする疾患としては,喉頭浮腫,気道異物,自然気胸,気管支喘息,慢性閉塞性肺疾患の急性増悪などの呼吸器疾患,心不全(急性,慢性の急性増悪),肺血栓塞栓症などの循環器疾患が代表的である。この症例では呼吸器感染症と心不全が疑われるが,胸部エックス線写真は肺炎像というよりも両心不全を示唆する所見を示している。診断:心不全(両心不全)(Nohria分類wet and warm) 選択肢考察 ×a 強い呼吸困難,胸痛などにより安静が保てない場合には,血管拡張による前負荷軽減と,交感神経抑制による心筋酸素消費量の減少を目的としてモルヒネを使用する。この症例ではモルヒネが必要となるほどの興奮状態ではない。

無料会員登録して、解説をすべて見る