問題番号 : 120A43

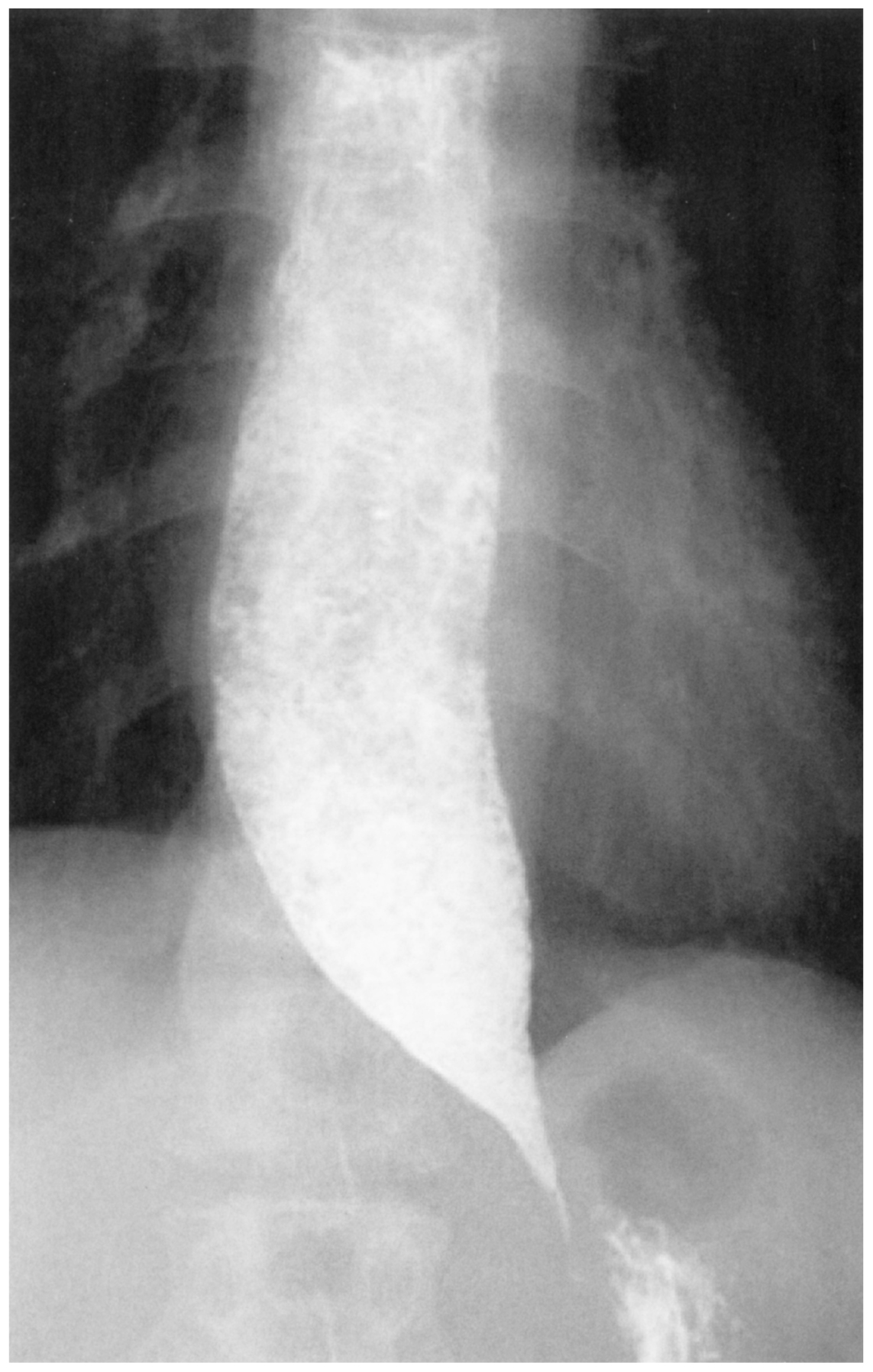
77歳の女性。つかえ感を主訴に来院した。15年前から食物摂取時に胸のつかえ感が時々あった。3か月前から食後に嘔吐を起こすようになり受診した。意識は清明。身長148cm,体重40kg。体温36.7℃。脈拍72/分,整。血圧104/74mmHg。呼吸数14/分。SpO2 98%(room air)。眼瞼結膜は軽度貧血様で,眼球結膜に黄染を認めない。甲状腺は触知しない。頸部リンパ節の腫大を認めない。心音と呼吸音とに異常を認めない。腹部は平坦,軟で,圧痛を認めない。血液所見:赤血球352万,Hb 10.7g/dL,Ht 31%,白血球8,700,血小板20万。血液生化学所見:アルブミン3.3g/dL,総ビリルビン1.2mg/dL,AST 31U/L,ALT 22U/L,LD 231U/L(基準124~222),CK 50U/L(基準41~153),尿素窒素30 mg/dL,クレアチニン1.1mg/dL,Na 136mEq/L,K 5.1mEq/L,Cl 99mEq/L。CRP 0.8 mg/dL。上部消化管造影検査の食道像を下に示す。
 考えられる疾患はどれか。

正解
d
国試正答率
99%

正解 d
※解説の掲載は,5月中旬を予定しています。

無料会員登録していただくと、実際の解説をすべて見ることができます。急性の呼吸困難を主訴とする疾患としては,喉頭浮腫,気道異物,自然気胸,気管支喘息,慢性閉塞性肺疾患の急性増悪などの呼吸器疾患,心不全(急性,慢性の急性増悪),肺血栓塞栓症などの循環器疾患が代表的である。この症例では呼吸器感染症と心不全が疑われるが,胸部エックス線写真は肺炎像というよりも両心不全を示唆する所見を示している。診断:心不全(両心不全)(Nohria分類wet and warm) 選択肢考察 ×a 強い呼吸困難,胸痛などにより安静が保てない場合には,血管拡張による前負荷軽減と,交感神経抑制による心筋酸素消費量の減少を目的としてモルヒネを使用する。この症例ではモルヒネが必要となるほどの興奮状態ではない。

無料会員登録して、解説をすべて見る