問題番号 : 120A40

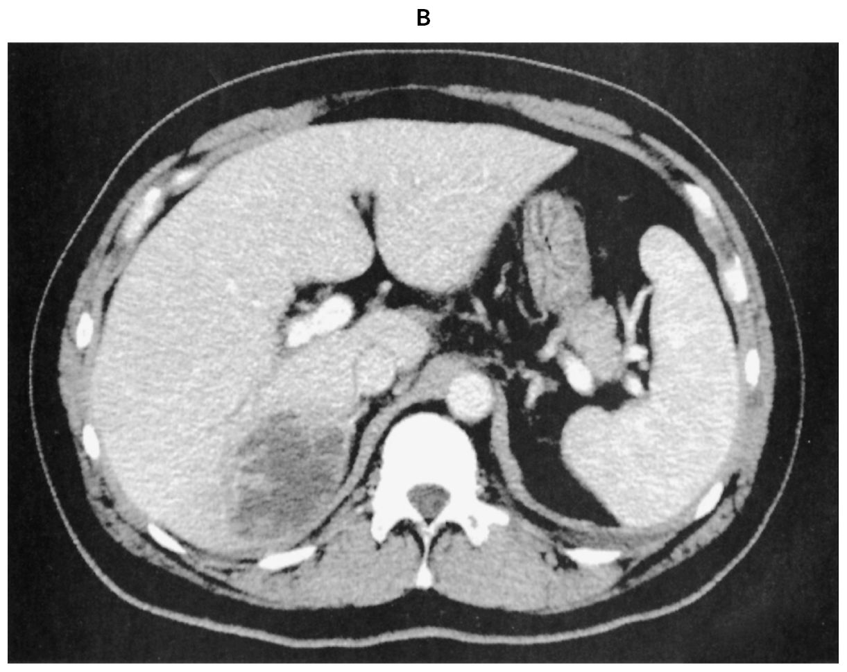
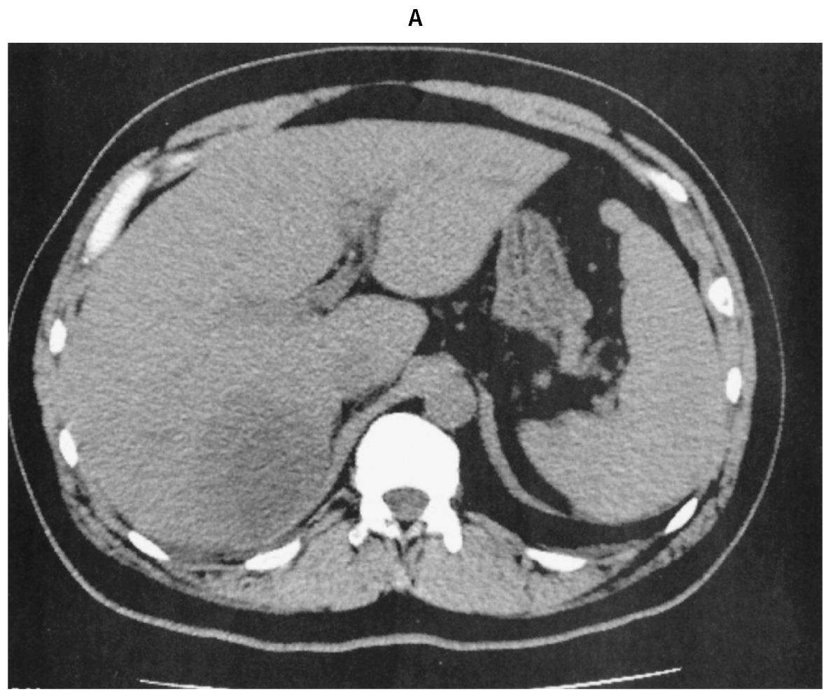
48歳の男性。悪寒と発熱を主訴に来院した。5日前から夕方になると38℃前後の発熱を生じ,軟便が続いていた。本日,悪寒を伴う発熱と両眼の視力低下を認めたため受診した。糖尿病で投薬治療中である。意識は清明。体温38.5℃。脈拍96/分,整。血圧140/74mmHg。呼吸数24/分。SpO2 97%(room air)。眼瞼結膜に異常を認めないが,両側の眼球結膜に充血を認める。頸部リンパ節を触知しない。心音と呼吸音とに異常を認めない。腹部は平坦で,右上腹部に圧痛を認める。右肋骨弓下に肝を3cm触知する。筋性防御と反跳痛は認めない。尿所見:蛋白(-),糖3+,ケトン体(-),潜血(-),沈渣に異常を認めない。血液所見:赤血球450万,Hb 14.0g/dL,Ht 45%,白血球14,600(桿状核好中球30%,分葉核好中球51%,好酸球1%,好塩基球1%,単球5%,リンパ球12%),血小板21万。血液生化学所見:総蛋白7.0g/dL,アルブミン3.5g/dL,総ビリルビン2.0mg/dL,直接ビリルビン1.5mg/dL,AST 35U/L,ALT 35U/L,LD 259U/L(基準124~222),ALP 220U/L(基準38~113),γ-GT 132U/L(基準13~64),アミラーゼ45U/L(基準44~132),CK 157U/L(基準59~248),尿素窒素19mg/dL,クレアチニン1.0mg/dL,尿酸7.2mg/dL,血糖198mg/dL,HbA1c 6.3%(基準4.9~6.0)。CRP 21mg/dL。胸部エックス線写真に異常を認めない。腹部単純CT(A)と腹部造影CT(B)とを下に示す。
 この患者に対する検査で適切でないのはどれか。

正解
d
国試正答率
92%

正解 d
※解説の掲載は,5月中旬を予定しています。

無料会員登録していただくと、実際の解説をすべて見ることができます。急性の呼吸困難を主訴とする疾患としては,喉頭浮腫,気道異物,自然気胸,気管支喘息,慢性閉塞性肺疾患の急性増悪などの呼吸器疾患,心不全(急性,慢性の急性増悪),肺血栓塞栓症などの循環器疾患が代表的である。この症例では呼吸器感染症と心不全が疑われるが,胸部エックス線写真は肺炎像というよりも両心不全を示唆する所見を示している。診断:心不全(両心不全)(Nohria分類wet and warm) 選択肢考察 ×a 強い呼吸困難,胸痛などにより安静が保てない場合には,血管拡張による前負荷軽減と,交感神経抑制による心筋酸素消費量の減少を目的としてモルヒネを使用する。この症例ではモルヒネが必要となるほどの興奮状態ではない。

無料会員登録して、解説をすべて見る