問題番号 : 120A35

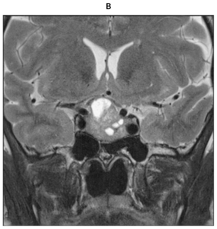
54歳の男性。口腔内の違和感を主訴に来院した。2年前から口唇の肥厚と下顎の突出を自覚し,その後,靴のサイズが約1cm大きくなり,指輪が外れなくなった。既往歴に高血圧症があり内服治療中である。また,睡眠時無呼吸症候群で通院中である。意識は清明。身長162cm,体重72kg。体温36.5℃。脈拍96/分,整。血圧120/90mmHg。矯正視力は右1.5左0.2。顔面は,眉弓突出,口唇肥大および下顎突出を認め,口腔内は舌の腫大を認める。血液所見:赤血球366万,白血球4,200,血小板20万。血液生化学所見:総蛋白7.6g/dL,アルブミン4.4g/dL,総ビリルビン0.6mg/dL,AST 18U/L,ALT 15U/L,尿素窒素22mg/dL,クレアチニン0.7mg/dL,空腹時血糖111mg/dL,HbA1c 6.3%(基準4.9~6.0),Na 140mEq/L,K 4.1mEq/L,Cl 104mEq/L。頭部造影MRIのT1強調矢状断像(A)と頭部単純MRIのT2強調冠状断像(B)とを下に示す。
 この患者の内分泌検査所見で異常高値を認めるのはどれか。

正解
c
国試正答率
99%

正解 c
※解説の掲載は,5月中旬を予定しています。

無料会員登録していただくと、実際の解説をすべて見ることができます。急性の呼吸困難を主訴とする疾患としては,喉頭浮腫,気道異物,自然気胸,気管支喘息,慢性閉塞性肺疾患の急性増悪などの呼吸器疾患,心不全(急性,慢性の急性増悪),肺血栓塞栓症などの循環器疾患が代表的である。この症例では呼吸器感染症と心不全が疑われるが,胸部エックス線写真は肺炎像というよりも両心不全を示唆する所見を示している。診断:心不全(両心不全)(Nohria分類wet and warm) 選択肢考察 ×a 強い呼吸困難,胸痛などにより安静が保てない場合には,血管拡張による前負荷軽減と,交感神経抑制による心筋酸素消費量の減少を目的としてモルヒネを使用する。この症例ではモルヒネが必要となるほどの興奮状態ではない。

無料会員登録して、解説をすべて見る