問題番号 : 120A32

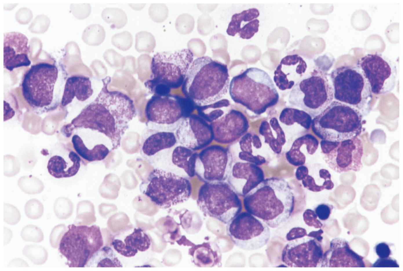
60歳の男性。白血球増多を主訴に来院した。健康診断で白血球数増多を指摘され,紹介受診した。自覚症状はない。体温36.3℃。眼瞼結膜に貧血を認めず,体表リンパ節を触知しない。心音と呼吸音とに異常を認めない。腹部は平坦,軟で,肝を触知しない。左肋骨弓下に脾を4cm触知する。血液所見:赤血球480万,Hb 14.4g/dL,Ht 46%,白血球31,200(骨髄球5%,後骨髄球1%,桿状核好中球2%,分葉核好中球54%,好酸球5%,好塩基球7%,単球6%,リンパ球20%),血小板62万。血液生化学所見:総蛋白7.0g/dL,アルブミン4.1g/dL,IgG 1,041mg/dL(基準861~1,747),IgA 297mg/dL(基準93~393),IgM 80mg/dL(基準33~183),総ビリルビン0.4mg/dL,AST 23U/L,ALT 18U/L,LD 445U/L(基準124~222),ALP 74U/L(基準38~113),尿素窒素21mg/dL,クレアチニン0.8mg/dL,尿酸5.8 mg/dL,血糖94mg/dL,Ca 9.5mg/dL。骨髄塗抹Wright-Giemsa染色標本を下に示す。
 次に行うのはどれか。

正解
d
国試正答率
65%

正解 d
※解説の掲載は,5月中旬を予定しています。

無料会員登録していただくと、実際の解説をすべて見ることができます。急性の呼吸困難を主訴とする疾患としては,喉頭浮腫,気道異物,自然気胸,気管支喘息,慢性閉塞性肺疾患の急性増悪などの呼吸器疾患,心不全(急性,慢性の急性増悪),肺血栓塞栓症などの循環器疾患が代表的である。この症例では呼吸器感染症と心不全が疑われるが,胸部エックス線写真は肺炎像というよりも両心不全を示唆する所見を示している。診断:心不全(両心不全)(Nohria分類wet and warm) 選択肢考察 ×a 強い呼吸困難,胸痛などにより安静が保てない場合には,血管拡張による前負荷軽減と,交感神経抑制による心筋酸素消費量の減少を目的としてモルヒネを使用する。この症例ではモルヒネが必要となるほどの興奮状態ではない。

無料会員登録して、解説をすべて見る