問題番号 : 120A31

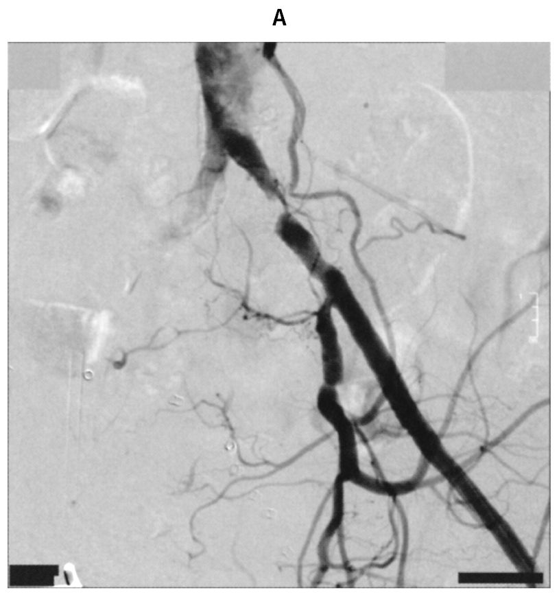
78歳の男性。歩行時の左下肢疼痛を主訴に来院した。4か月前から約300mの歩行で左下肢の痛みを自覚するようになり,立ち止まって休憩すると消失していた。最近痛みのため徐々に歩行可能距離が短くなった。60歳時から糖尿病と脂質異常症に対して定期的な投薬治療が行われている。喫煙は20歳から60歳まで20本/日。飲酒は機会飲酒。意識は清明。身長168cm,体重65kg。体温36.2℃。脈拍80/分,整。右上肢血圧160/90mmHg。呼吸数20/分。SpO2 96%(room air)。足関節上腕血圧比〈ABI〉は右側で0.96,左側で0.68であった。左大腿動脈から逆行性に造影した骨盤部の動脈造影の連続写真(A)(B)を下に示す。
研修医と指導医の会話を以下に示す。
指導医:「この患者さんの発症時の症状をどう表現しますか」
研修医:「①間欠性跛行だと思います」
指導医:「この疾患の疫学で何か知っていますか」
研修医:「②我が国では最近増加傾向にあります」
指導医:「病変がある部位はどこですか」
研修医:「③左総腸骨動脈だと思います」
指導医:「この疾患の保存的治療としてどのようなものが考えられますか」
研修医:「④ワルファリン投与を考えます」
指導医:「侵襲的治療として,外科的血行再建術以外に,どのようなものが考えられますか」
研修医:「⑤血管内治療を考えます」
 下線部のうち,誤っているのはどれか。

正解
d
国試正答率
91%

正解 d
※解説の掲載は,5月中旬を予定しています。

無料会員登録していただくと、実際の解説をすべて見ることができます。急性の呼吸困難を主訴とする疾患としては,喉頭浮腫,気道異物,自然気胸,気管支喘息,慢性閉塞性肺疾患の急性増悪などの呼吸器疾患,心不全(急性,慢性の急性増悪),肺血栓塞栓症などの循環器疾患が代表的である。この症例では呼吸器感染症と心不全が疑われるが,胸部エックス線写真は肺炎像というよりも両心不全を示唆する所見を示している。診断:心不全(両心不全)(Nohria分類wet and warm) 選択肢考察 ×a 強い呼吸困難,胸痛などにより安静が保てない場合には,血管拡張による前負荷軽減と,交感神経抑制による心筋酸素消費量の減少を目的としてモルヒネを使用する。この症例ではモルヒネが必要となるほどの興奮状態ではない。

無料会員登録して、解説をすべて見る