問題番号 : 120A30

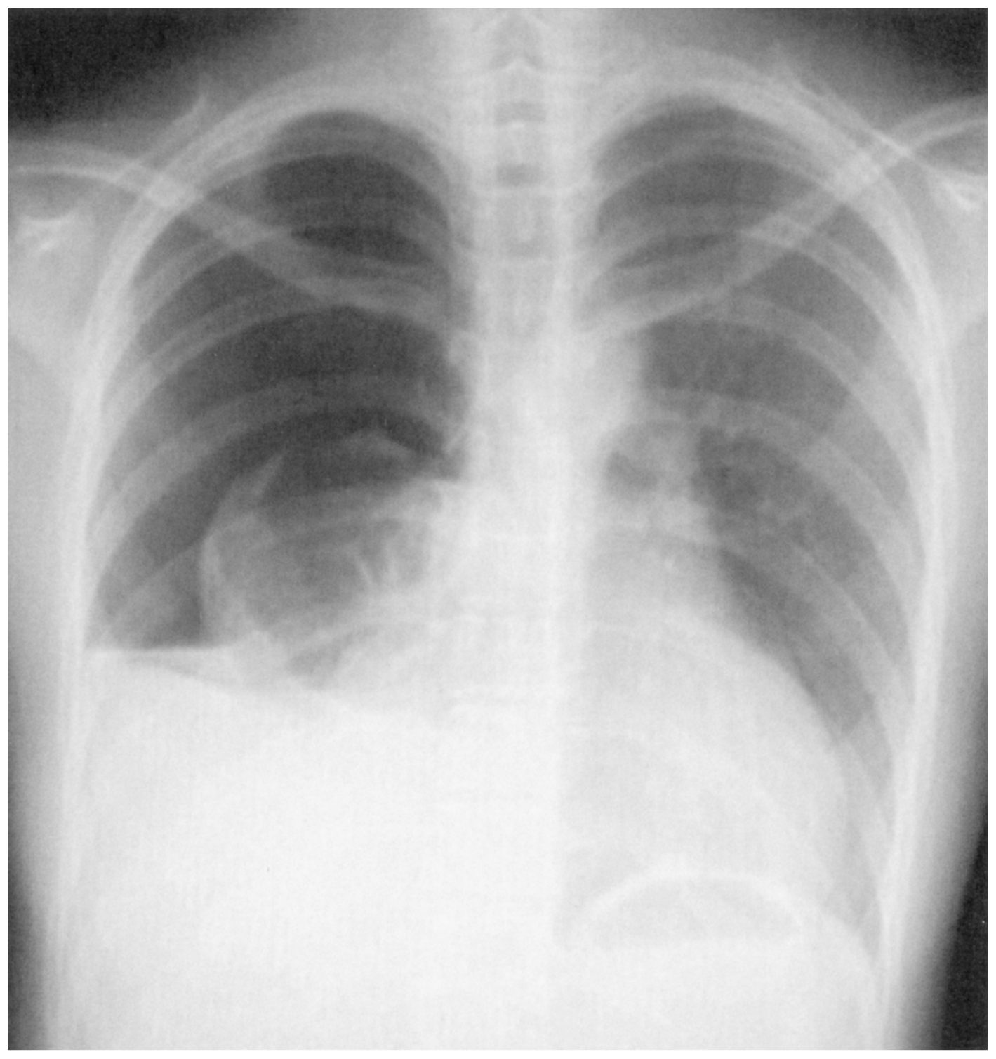
20歳の女性。胸痛と息苦しさとを主訴に救急車で搬入された。1時間前,咳をした後に右胸痛と呼吸困難が出現し,次第に増悪したため救急車を要請した。身長162cm,体重48kg。体温36.5℃。心拍数108/分,整。血圧84/48mmHg。呼吸数18/分。SpO2 95%(リザーバー付マスク10L/分 酸素投与下)。眼瞼結膜は貧血様である。心音に異常を認めない。呼吸音は右で減弱している。血液所見:赤血球290万,Hb 9.5g/dL,Ht 29%,白血球10,690,血小板19万。胸部エックス線写真を下に示す。輸液を開始し胸腔ドレナージを施行したところ,血性排液1,200mLがあり持続的に空気漏れがみられた。ドレナージ2時間後,胸腔ドレナージ排液は血性で1時間200mLの排液と空気漏れが持続しており,SpO2 99%(マスク8L/分 酸素投与下)であった。この時点で末梢血液所見は赤血球245万,Hb 7.5g/dL,Ht 24%,白血球12,600,血小板18万であった。心拍数120/分,整。血圧70/40mmHgで赤血球輸血を開始した。
 この時点で行うべき対応はどれか。

正解
a
国試正答率
70%

正解 a
※解説の掲載は,5月中旬を予定しています。

無料会員登録していただくと、実際の解説をすべて見ることができます。急性の呼吸困難を主訴とする疾患としては,喉頭浮腫,気道異物,自然気胸,気管支喘息,慢性閉塞性肺疾患の急性増悪などの呼吸器疾患,心不全(急性,慢性の急性増悪),肺血栓塞栓症などの循環器疾患が代表的である。この症例では呼吸器感染症と心不全が疑われるが,胸部エックス線写真は肺炎像というよりも両心不全を示唆する所見を示している。診断:心不全(両心不全)(Nohria分類wet and warm) 選択肢考察 ×a 強い呼吸困難,胸痛などにより安静が保てない場合には,血管拡張による前負荷軽減と,交感神経抑制による心筋酸素消費量の減少を目的としてモルヒネを使用する。この症例ではモルヒネが必要となるほどの興奮状態ではない。

無料会員登録して、解説をすべて見る