問題番号 : 120A28

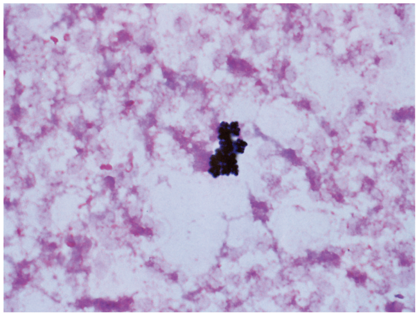
65歳の男性。胃癌術後で入院中である。手術後から経口摂取が困難なため,右内頸静脈に中心静脈カテーテルを留置して中心静脈栄養を行っている。術後12日目に発熱を認めた。発熱の他に新たな症状はない。意識は清明。体温38.1℃。脈拍100/分,整。血圧124/60mmHg。呼吸数18/分。SpO2 97%(room air)。眼瞼結膜と眼球結膜とに異常を認めない。中心静脈カテーテル刺入部に異常を認めない。心音と呼吸音とに異常を認めない。手術創の表面に異常を認めない。腹部は平坦,軟で,圧痛を認めない。肋骨脊柱角に叩打痛を認めない。手指や足趾に異常所見を認めない。全身状態は安定しており,胸腹部単純CTで発熱の原因精査を行ったが,熱源は判明しなかった。血液培養2セットを採取したところ,翌日2セットともに陽性となった。血液培養ボトル内容のGram染色標本を下に示す。
 抗菌薬を投与することにしたが,その前に行うべき対応はどれか。

正解
e
国試正答率
70%

正解 e
※解説の掲載は,5月中旬を予定しています。

無料会員登録していただくと、実際の解説をすべて見ることができます。急性の呼吸困難を主訴とする疾患としては,喉頭浮腫,気道異物,自然気胸,気管支喘息,慢性閉塞性肺疾患の急性増悪などの呼吸器疾患,心不全(急性,慢性の急性増悪),肺血栓塞栓症などの循環器疾患が代表的である。この症例では呼吸器感染症と心不全が疑われるが,胸部エックス線写真は肺炎像というよりも両心不全を示唆する所見を示している。診断:心不全(両心不全)(Nohria分類wet and warm) 選択肢考察 ×a 強い呼吸困難,胸痛などにより安静が保てない場合には,血管拡張による前負荷軽減と,交感神経抑制による心筋酸素消費量の減少を目的としてモルヒネを使用する。この症例ではモルヒネが必要となるほどの興奮状態ではない。

無料会員登録して、解説をすべて見る