問題番号 : 120A27

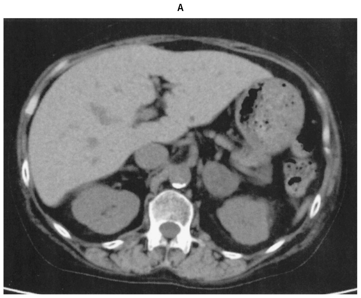
48歳の女性。人間ドックで副腎腫瘤を指摘され来院した。数年前から高血圧症に対してカルシウム拮抗薬とアンジオテンシンⅡ受容体拮抗薬を内服中である。身長160cm,体重66kg。脈拍72/分,整。血圧130/84mmHg。満月様顔貌および水牛様肩がみられる。血液生化学所見:空腹時血糖110mg/dL,HbA1c 6.2%(基準4.9~6.0),トリグリセリド154mg/dL,LDLコレステロール182mg/dL,Na 142mEq/L,K 3.8mEq/L,Cl 104 mEq/L,血漿レニン活性1.6ng/mL/時間(基準1.2~2.5),アルドステロン48pg/mL(基準4~82),ACTH 1.4pg/mL(基準60以下),コルチゾール24.2μg/dL(基準5.2~12.6),アドレナリン8pg/mL(基準100以下),ノルアドレナリン124pg/mL(基準100~450)。少量デキサメタゾン(1mg)抑制試験は陽性であった。腹部単純CT(A)と副腎皮質シンチグラム(B)を下に示す。治療として副腎腫瘤の摘出手術を予定している。
 外科治療後の対応で適切なのはどれか。

正解
d
国試正答率
91%

正解 d
※解説の掲載は,5月中旬を予定しています。

無料会員登録していただくと、実際の解説をすべて見ることができます。急性の呼吸困難を主訴とする疾患としては,喉頭浮腫,気道異物,自然気胸,気管支喘息,慢性閉塞性肺疾患の急性増悪などの呼吸器疾患,心不全(急性,慢性の急性増悪),肺血栓塞栓症などの循環器疾患が代表的である。この症例では呼吸器感染症と心不全が疑われるが,胸部エックス線写真は肺炎像というよりも両心不全を示唆する所見を示している。診断:心不全(両心不全)(Nohria分類wet and warm) 選択肢考察 ×a 強い呼吸困難,胸痛などにより安静が保てない場合には,血管拡張による前負荷軽減と,交感神経抑制による心筋酸素消費量の減少を目的としてモルヒネを使用する。この症例ではモルヒネが必要となるほどの興奮状態ではない。

無料会員登録して、解説をすべて見る