問題番号 : 120A16

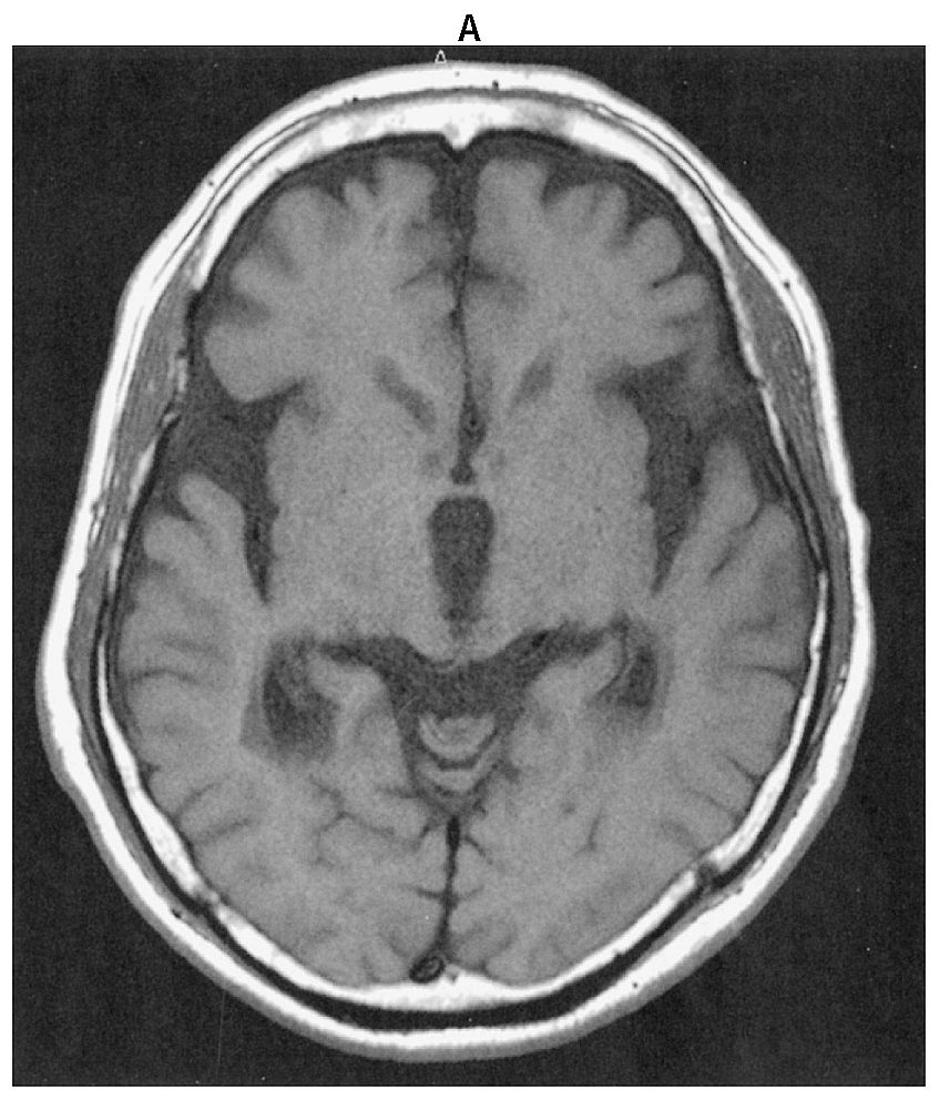
69歳の男性。転びやすいことを主訴に来院した。10年前から糖尿病でインスリン療法を行っている。3年前から歩行時に前のめりになり転倒することが頻回になり,5か月前に左上腕骨を骨折した。診察時,表情は乏しく,やや小声であった。眼球運動は上下方向に制限があり,筋強剛は頸部に強く認めたが四肢では軽かった。四肢の腱反射は正常で,Babinski徴候を認めない。便秘もない。レボドパ〈L-dopa〉の内服による治療効果は認められなかった。頭部単純MRIのT1強調像(A)とドパミントランスポーターSPECT(B)とを下に示す。
 最も考えられる疾患はどれか。

正解
b
国試正答率
92%

正解 b
※解説の掲載は,5月中旬を予定しています。

無料会員登録していただくと、実際の解説をすべて見ることができます。急性の呼吸困難を主訴とする疾患としては,喉頭浮腫,気道異物,自然気胸,気管支喘息,慢性閉塞性肺疾患の急性増悪などの呼吸器疾患,心不全(急性,慢性の急性増悪),肺血栓塞栓症などの循環器疾患が代表的である。この症例では呼吸器感染症と心不全が疑われるが,胸部エックス線写真は肺炎像というよりも両心不全を示唆する所見を示している。診断:心不全(両心不全)(Nohria分類wet and warm) 選択肢考察 ×a 強い呼吸困難,胸痛などにより安静が保てない場合には,血管拡張による前負荷軽減と,交感神経抑制による心筋酸素消費量の減少を目的としてモルヒネを使用する。この症例ではモルヒネが必要となるほどの興奮状態ではない。

無料会員登録して、解説をすべて見る