問題番号 : 115A21

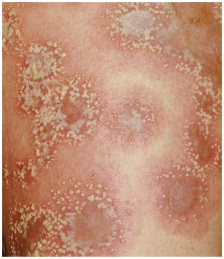
35歳の男性。発熱と全身の皮疹を主訴に来院した。8年前に尋常性乾癬と診断され副腎皮質ステロイド外用薬を塗布していた。7日前から39℃台の発熱とともに,急速に紅斑が全身に拡大したため受診した。受診時紅斑上に径5mmまでの小膿疱が多発し,集簇する。地図状舌を認める。血液所見:白血球16,000(桿状核好中球15%,分葉核好中球70%,好酸球3%,単球5%,リンパ球7%)。血液生化学所見:血清アルブミン3.0g/dL。CRP 15.0mg/dL。膿疱からの細菌培養検査は陰性,真菌鏡検とTzanck試験はいずれも陰性であった。皮膚生検でKogoj海綿状膿疱を認める。体幹の写真を下に示す。
 最も考えられるのはどれか。

正解
a
国試正答率
81%

画像診断
上画像参照。

Assessment

無料会員登録していただくと、実際の解説をすべて見ることができます。急性の呼吸困難を主訴とする疾患としては,喉頭浮腫,気道異物,自然気胸,気管支喘息,慢性閉塞性肺疾患の急性増悪などの呼吸器疾患,心不全(急性,慢性の急性増悪),肺血栓塞栓症などの循環器疾患が代表的である。この症例では呼吸器感染症と心不全が疑われるが,胸部エックス線写真は肺炎像というよりも両心不全を示唆する所見を示している。診断:心不全(両心不全)(Nohria分類wet and warm) 選択肢考察 ×a 強い呼吸困難,胸痛などにより安静が保てない場合には,血管拡張による前負荷軽減と,交感神経抑制による心筋酸素消費量の減少を目的としてモルヒネを使用する。この症例ではモルヒネが必要となるほどの興奮状態ではない。

無料会員登録して、解説をすべて見る