問題番号 : 109D29

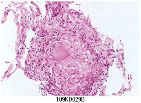
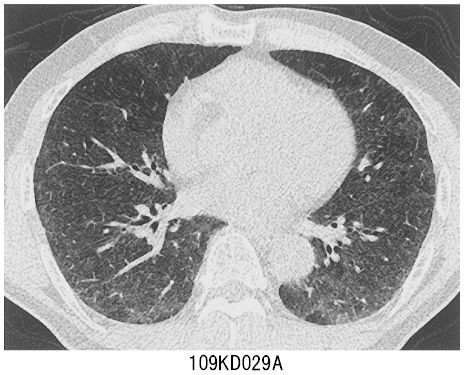
27歳の男性。強い咳嗽,発熱および呼吸困難を主訴に来院した。2か月前の初夏から咳嗽が出現し次第に増強した。1週前から発熱とともに呼吸困難が出現し,外来にて低酸素血症を認めたため入院となった。入院2日後には症状と低酸素血症とが改善し3日後に退院したが,退院翌日に再び咳嗽,発熱および呼吸困難のために救急外来を受診し,再入院となった。既往歴に特記すべきことはない。再入院時,身長167 cm,体重70 kg。体温38.0℃。脈拍112/分。血圧110/68 mmHg。呼吸数24/分。SpO2 88%(room air)。吸気時にfine cracklesを聴取する。血液所見:赤血球510万,Hb 14.9 g/dL,Ht 43%,白血球11,100(桿状核好中球6%,分葉核好中球75%,好酸球3%,好塩基球1%,単球3%,リンパ球12%),血小板35万。CRP 2.2 mg/dL。再入院時の胸部エックス線写真で両側肺野に淡いスリガラス陰影を認める。再入院時の胸部CT(A)と再入院翌日に行った経気管支肺生検組織のH-E染色標本(B)とを別に示す。気管支肺胞洗浄液所見:細胞数4.2×106/mL(肺胞マクロファージ4%,リンパ球88%,好中球6%,好酸球2%)。
 治療法として適切なのはどれか。

正解
e
国試正答率
71%

画像診断
上画像参照。

Assessment

無料会員登録していただくと、実際の解説をすべて見ることができます。急性の呼吸困難を主訴とする疾患としては,喉頭浮腫,気道異物,自然気胸,気管支喘息,慢性閉塞性肺疾患の急性増悪などの呼吸器疾患,心不全(急性,慢性の急性増悪),肺血栓塞栓症などの循環器疾患が代表的である。この症例では呼吸器感染症と心不全が疑われるが,胸部エックス線写真は肺炎像というよりも両心不全を示唆する所見を示している。診断:心不全(両心不全)(Nohria分類wet and warm) 選択肢考察 ×a 強い呼吸困難,胸痛などにより安静が保てない場合には,血管拡張による前負荷軽減と,交感神経抑制による心筋酸素消費量の減少を目的としてモルヒネを使用する。この症例ではモルヒネが必要となるほどの興奮状態ではない。

無料会員登録して、解説をすべて見る